上顎洞挙上術で安全にインプラントを埋入します。
上顎洞のスペースを確保することで、上顎の奥歯の部位に安定したインプラントの埋入が可能です。
上顎洞挙上術ですか?
「必ずやらなければならないのでしょうか?」
上の奥歯の上にある頬骨から上顎骨まで続いている空間を「上顎洞」と言いますが、上顎洞が下がるとインプラントがしっかりと固定されません。
特に奥歯を抜歯すると、歯茎の骨が吸収され、歯茎の骨の量がさらに減少します。
インプラントがしっかりと固定されるためには、上顎洞を持ち上げた後、空いたスペースに骨を移植する「上顎洞挙上術」が必要です。
上顎洞は非常に薄い膜でできており、破れやすいため、上顎洞炎や副鼻腔炎などの他の疾患を引き起こす可能性があるため、繊細な技術が求められます。
側方アプローチです。
開放的上顎洞挙上術です。
歯槽骨アプローチ
閉鎖的上顎洞挙上術です。
上顎洞挙上術の方法です。
患者の状態に応じて適切な手術方法を選択します。
側面アプローチ (Lateral Approach)
開放的上顎洞挙上術です。
側壁を通じてアクセスし、上顎洞膜を挙上する方法です。

適応症
- 残存骨高さ4mm未満です。
- 広範囲の骨移植が必要な場合です。
- 多数のインプラント埋入です。
- 上顎洞底がひどく陥没している場合
利点です。
- 視野の確保が容易です。
- 正確な膜のリフトが可能です。
- 十分な量の骨移植材を適用します。
- 成功率が高いです。
クリスタルアプローチ (歯槽頂アプローチ)
閉鎖的上顎洞挙上術です。
オステオトーム、デンシャーバー、水圧を利用して膜を挙上する方法です。

適応症
- 残存骨高さ 4-6mmです。
- 局所的な骨移植が必要な場合です。
- 1~2本のインプラント埋入
- 上顎洞底が平坦な場合です。
利点
- 最小侵襲的アプローチです。
- 回復期間が短いです。
- 同時インプラント埋入です。
- 患者様の不快感を最小限に抑えます。
上顎洞挙上術の治療過程です。
安全で正確な手術のための体系的な治療プロセスです。

3D CT 진단
상악동 해부학적 구조 분석 및 수술 계획 수립

마취 및 절개
국소마취 후 잇몸 절개하여 상악골 노출

상악동막 거상
조심스럽게 상악동막을 손상 없이 들어올림

뼈이식재 충전
거상된 공간에 뼈이식재를 충분히 채워 넣음

봉합 및 치유
차폐막 설치 후 봉합, 6개월 치유 기간
ATTENTION
W DENTAL CLINIC SURGERY
手術前後には必ず注意事項をチェックしてください。
上顎洞挙上術です。 注意事項です。
手術後に少しの痛みや出血がある場合があります。
手術当日は冷たい食べ物を召し上がることをお勧めいたします。
時間に合わせて必ず服用してください。
手術後2日間は氷で冷やしてください。
唾液を吐き出したり、ストローを使用することはお控えください。
手術後2週間は、水泳などの激しい運動や飲酒、喫煙を控えていただく必要があります。
最低でも3週間は鼻を強くかまないようにしてください。
寝るときは、普段より少し高めの枕を使用する必要があります。
手術後、歯を揺らすことは軽い社会では問題ありませんが、多くの食べ物は2週間控えていただく必要があります。
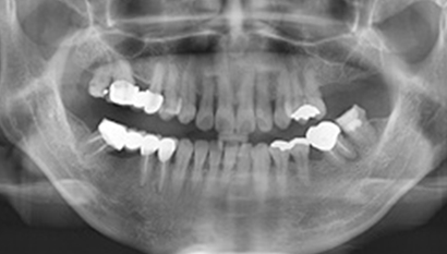
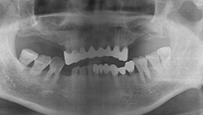
W Dental Clinic Before & After
治療前後の写真

Before

After
上顎洞挙上術です。









