Эстетическая стоматология
Мы рады представить вам услуги по эстетической стоматологии в Стоматологической клинике W в Ганнаме.
Что такое стоматологическая эстетика?
Эстетическая стоматология — это косметическое лечение, которое естественно восстанавливает поврежденные или потемневшие зубы, а также исправляет промежутки между зубами, создавая красивую улыбку.
Особенности стоматологической пластики

Причины, по которым может потребоваться стоматологическая пластика.

Чистая поверхность зубов
Мы заполним промежутки между зубами яркими и чистыми зубами.

Индивидуальные зубные протезы
Когда вы хотите получить зубы, похожие на ваши собственные по форме.

В случае, если зуб сломан
В случае, если зуб поврежден или сломан из-за кариеса или внешнего удара

Потемневшие/измененные зубы
Лечение зубов, потемневших от табака или кофе.
Методы эстетической стоматологии
Мы выбираем оптимальный метод стоматологической коррекции в зависимости от состояния и потребностей пациента.
Пластика зубов
Методы для тех, кто считает, что ортодонтия занимает много времени, или хочет простое исправление.


Особенности
- Коррекция слегка выступающих зубов
- Полная чистка зубов.
- Аккуратные и хорошо подобранные зубы
- Быстрое проведение лечения
ламинаты
Эстетическое лечение, при котором тонко удаляется передняя часть зуба и приклеивается керамическая пластинка в форме ногтя.


олсерамика
Лечение, которое предоставляется, когда часть зуба подвергается значительному повреждению и на него оказывается большая нагрузка, чем на ремонт.


Особенности
- Высокая совместимость с натуральными зубами
- Нет аллергических побочных эффектов.
- Прозрачность, схожая с натуральными зубами.
- Выдающаяся твердость и прочность
цирконий
Лечение, при котором используется материал, более твердый, чем металл, и похожий по цвету на зубы, для покрытия.


Особенности
- Превосходная прочность по сравнению с металлом
- Цвет, схожий с натуральными зубами.
- Точно изготовлено
- Микрорегулировка возможна
Сравнение до и после лечения
Убедитесь в удивительных изменениях, которые предлагает стоматологическая клиника W в области эстетической стоматологии.
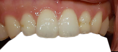
Перед и после коррекции передних зубов

Before
Неровные передние зубы

After
Сбалансированная улыбка
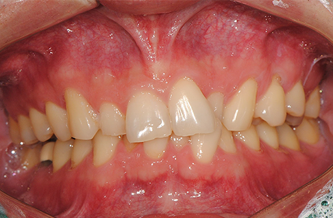
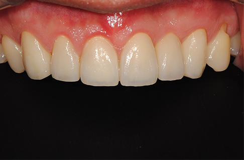
Перед и после лечения выступающих зубов

Before
Выступающие зубы

After
Естественное расположение

Красивые зубы, идеальная улыбка
Верните уверенную улыбку с помощью стоматологической эстетики в Стоматологической клинике W.
Получите безопасное и чистое лечение с помощью 12-ступенчатой системы идеальной стерилизации.
☎ 1660-0752








