충치 치료
자연치아를 보존하는 정밀한 충치 치료를 시행합니다
건강한 치아는 평생의 재산입니다.
충치는 초기에 발견하여 치료하는 것이 가장 중요하며
더블유치과는 환자 한 분 한 분의 자연치아를 보존하는데 최선을 다하겠습니다.
정확한 진단과 꼼꼼한 치료로 건강한 미소를 지켜드리겠습니다.
충치치료란?
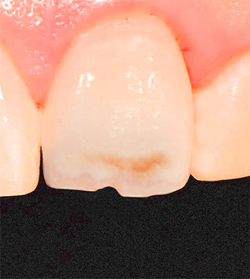
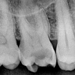
충치는 구강 내 세균이 당분을 분해하면서 생성하는 산에 의해 치아가 녹아 생기는 질환으로조기 발견과 치료가 매우 중요합니다.
충치는 발생 위치와 진행 정도에 따라 치료 방법이 달라지므로, 정기적인 검진을 통한 조기 발견이 가장 중요합니다.
충치 자가진단 체크리스트
초기 충치 치료의 최선의 선택
레진 치료
치아색과 동일한 재료로 자연스럽게 복원하는 치료법입니다.


2차 충치로 넘어갔을 때의 치료 방법
인레이
충치로 인한 치아 손상이 넓은 경우 시행하는 치료입니다. 충치가 심하거나 기존 치료가 실패했을 때 금, 세라믹, 레진 등의 재료를 이용하여 수복물을 만들고 부착하는 치료입니다.
레진 인레이
치아색과 유사한 복합 레진 소재로 자연스러운 심미성을 제공하며, 상대적으로 경제적인 인레이 치료입니다.

하이브리드 인레이
세라믹과 레진의 장점을 결합한 하이브리드 소재로 강도와 심미성을 동시에 제공하는 프리미엄 인레이입니다.

골드 인레이
생체친화성이 뛰어난 금 소재로 제작되어 내구성과 적합성이 우수하며, 어금니 부위에 적합한 인레이입니다.

신경치료와 연관된 노후가 깊 중요
크라운 치료
심한 충치나 신경치료를 받거나 기존의 검게 결락이 손상에 큰 경우 치료하는 치료 방법입니다. 치아 전체를 감싸나 자기와 메탈인 기술을 사용하여 주지 공간며 기능 사용합니다.
나에게 맞는 크라운 치료 구분

PFM 크라운
금속 골격에 포세린을 올린 심미적 전면부용 가장 기본 보철

올세라믹 크라운
치아색과 매우 유사한 심미적인 놀음 대단한 치료경고 없은 뛰어난 강도

지르코니아 크라운
가장 단단한 지고의 새로운 합해 높음 전과 지구와이 방문 능력으로 노인 시민

골드 크라운
가장 우수한 생체친화성과 내구성을 가진 전통적인 치료법으로, 어금니 부위에 적합합니다
충치 치료 과정
체계적인 단계별 치료로 완벽한 충치 치료를 진행합니다

STEP 01
정밀 진단
3D CT X-RAY를 통한 정확한 충치 진단

STEP 02
마취
무통 마취 시스템으로 편안한 치료

STEP 03
충치 제거
감염된 치아 조직을 완벽하게 제거

STEP 04
수복 치료
레진, 인레이, 크라운 등 적합한 재료로 수복

STEP 05
마무리 및 관리
교합 조정 및 치료 후 관리 지도
충치 예방법
올바른 습관으로 충치를 예방하고 건강한 치아를 유지하세요

올바른 양치질
하루 3번, 식후 3분 내, 3분간 양치

치실 사용
양치로 제거되지 않는 치간 음식물 제거

불소 사용
불소 치약 사용 및 정기적 불소 도포

건강한 식습관
당분 섭취 줄이고 균형잡힌 영양 섭취

충분한 수분 섭취
침 분비 촉진으로 자정 작용 도움

정기 검진
6개월마다 정기 검진으로 조기 발견

금연 및 절주
구강 건강에 해로운 습관 피하기

예방 치료
실란트, 불소 도포 등 예방 치료









