일반뼈이식으로 임플란트 성공률을 높입니다
부족한 잇몸뼈를 보강하여 임플란트의 안정적인 식립을 가능하게 합니다
일반뼈이식이란?
임플란트 식립을 위해 충분하지 않은 잇몸뼈의 높이나 폭을 인공뼈 또는 자가골을 이용하여 보강하는 치료입니다. 뼈가 부족한 부위에 이식재를 넣어 새로운 뼈 조직이 생성되도록 유도합니다.
발치 후 즉시 식립 및 뼈이식
발치 후 골 흡수 과정
치아 상실 후 시간이 경과하면 턱뼈가 점진적으로 흡수되어 임플란트 식립이 어려워집니다

치아 상실 후 턱뼈 변화 3단계
정상 해부학적 구조
치아가 있을 때의 건강한 턱뼈
골 흡수 시작
발치 후 3-6개월 사이 급격한 흡수
지속적 골 소실
치료 없이 방치 시 계속 악화

틀니 장기 사용으로 인한 골 흡수
오랫동안 틀니를 사용한 환자의 경우 턱뼈가 심각하게 얇아져 임플란트 식립을 위해 대량의 뼈이식이 필요합니다.
⚠️ 틀니 사용 10년 이상 시 50-70% 골 흡수 발생

폭을 넓히는 수술 (Ridge Splitting)
얇아진 턱뼈를 분리하여 그 사이에 뼈이식재를 넣고 폭을 넓히는 수술 방법입니다.
✓ 최소 2-3mm 폭에서 6-8mm로 확장 가능
뼈이식이 필요한 경우
임플란트 성공을 위해서는 충분한 골량과 골질이 필요합니다
발치 즉시 임플란트가 필요한 경우
치아를 뽑는 즉시 임플란트를 식립하여 치료 기간을 단축하고 뼈 흡수를 방지합니다

외상으로 인한 치아 손상
사고나 충격으로 치아가 심하게 손상되어 발치가 불가피한 경우

심한 충치로 보존 불가
치아 대부분이 우식되어 근관치료로도 보존이 어려운 경우

치주질환으로 치아 동요
잇몸병이 심하게 진행되어 치아가 흔들리는 경우
발치 후 즉시식립 시 뼈이식이 필수인 이유
발치소켓과 임플란트 사이의 1-2mm 이상 빈공간은 반드시 뼈이식으로 채워야 합니다

1단계: 발치 후 소켓
치아 발치 후 비어있는 발치소켓

2단계: 실제 발치부
발치 후 넓은 빈공간이 보이는 실제 임상

3단계: 임플란트 식립
임플란트와 발치소켓 사이 여유공간

4단계: 뼈이식 완료
빈공간에 뼈이식재로 완벽하게 채워진 상태
중요: 1-2mm 이상의 간격(gap)는 반드시 뼈이식이 필요합니다
- ✓발치소켓과 임플란트 사이의 빈공간은 자연치유가 어려움
- ✓뼈이식을 통해 안정적인 골유착과 임플란트 성공률 향상
- ✓적절한 뼈이식으로 장기적인 안정성 확보

골폭 부족
잇몸뼈의 폭이 2mm 이하로 임플란트 식립이 어려운 경우
최소 6-8mm의 골폭이 필요

골높이 부족
상악동이나 하치조신경까지의 거리가 부족한 경우
최소 8-10mm의 골높이 필요

발치 후 골흡수
발치 후 3-6개월 경과로 뼈가 40-60% 흡수된 경우
수직적으로 1-3mm, 수평적으로 3-5mm 흡수

골밀도 불량
D3, D4 타입의 연한 뼈로 초기 고정이 어려운 경우
뼈이식으로 골밀도 개선 필요
뼈이식 재료의 종류
환자의 상태와 필요에 따라 최적의 이식재를 선택합니다
자가골 (Autograft)
환자 자신의 뼈를 채취하여 사용하는 방법으로 가장 이상적인 이식재입니다.

주요 장점
- 생체 친화성이 가장 우수
- 골형성 능력이 뛰어남
- 감염 위험이 낮음
- 면역 거부반응 없음
동종골 (Allograft)
기증받은 사람의 뼈를 특수 처리하여 사용하는 방법입니다.

주요 장점
- 채취 수술이 불필요
- 충분한 양의 확보 가능
- 처리 과정을 통해 안전성 확보
- 골전도 능력 우수
이종골 (Xenograft)
동물의 뼈를 정제하여 사용하는 방법으로 가장 널리 사용됩니다.

주요 장점
- 무제한적인 공급 가능
- 비용이 경제적
- 우수한 골전도 능력
- 안정적인 품질
합성골 (Synthetic)
인공적으로 제작된 뼈이식재로 Bio-Oss 등이 대표적입니다.

주요 장점
- 감염 위험이 전혀 없음
- 일정한 품질 보장
- 무제한 공급 가능
- 생분해성 소재 사용
뼈이식 수술 방법
환자의 상태에 따라 최적의 수술 방법을 선택합니다
폭을 넓히는 수술 (GBR)
골폭이 부족한 경우 뼈이식재와 차폐막을 사용하여 골폭을 넓히는 수술입니다.
- 차폐막 사용으로 바람직한 골 재생
- 뼈이식재 차단 방지
- 3-6개월 후 임플란트 식립 가능
- 예측 가능한 골 재생 결과
높이를 높이는 수술
골높이가 부족한 경우 수직적으로 뼈을 증가시키는 수술입니다.
- 상악동 거상술 또는 하악관 제이술
- 블록노이 이식으로 추가 골량 확보
- 단계적 골 재생으로 안전한 결과
- 최소 6개월 치유 기간 필요

수평 골 증대술 (GBR)
차폐막과 뼈이식재를 사용해 수평적으로 골폭을 넓히는 수술입니다.
- ✓차폐막으로 공간 유지
- ✓4-6개월 후 임플란트 식립

수평/수직 동시 증대술
폭과 높이를 동시에 증가시키는 복합 수술 방법입니다.
- ✓심각한 골 결손 해결
- ✓3차원적 골 재생
블록뼈 이식이 필요한 경우
대량의 골결손으로 블록형태의 자가골 이식이 필요한 경우입니다.
전악 임플란트
전체 치아 상실 시
상악동 거상술
대량 뼈이식 시
외상성 골결손
사고로 인한 골결손
선천성 결손
태어날 때부터 결손
블록뼈 이식의 장점
- ✓대량의 뼈량 확보
- ✓자가골로 거부반응 없음
- ✓예측 가능한 결과
- ✓단열 방지 기능
티타늄 메쉬를 이용한 골 재생
대량의 골 결손을 해결하는 최첨단 수술 방법

티타늄 메쉬 3D 모식도
환자 맞춤형 티타늄 메쉬를 제작하여 정확한 형태로 뼈를 재생시킵니다.

메쉬 수술 임상 사진
실제 티타늄 메쉬를 적용한 임상 사례

뼈이식 성공 사례
메쉬 제거 후 성공적으로 재생된 뼈

정확한 형태 유지
3D 맞춤 제작으로 원하는 형태 구현

안정적 공간 확보
연조직 침투 차단 및 골 재생 공간 보호

대량 골 재생
심각한 골 결손에도 효과적

높은 성공률
95% 이상의 임상 성공률
치료과정
안전하고 정확한 수술을 위한 체계적인 치료 과정

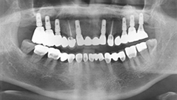
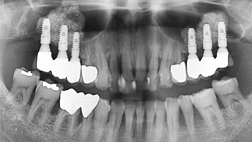
진단 및 치료 계획
파노라마, X-ray, 3D CT 등으로 상태를 면밀하게 진단 후 치료계획을 세웁니다.

잇몸뼈 이식
골이 파괴된 부위의 염증조직을 깨끗이 제거한 후 뼈이식재를 적용하고 생체막을 덮어 이식부를 보호합니다.

수술부위 봉합
잇몸이 벌어지지 않도록 판막을 조작 후 봉합합니다.

임플란트 식립
잇몸뼈가 형성되면 임플란트를 식립합니다.

보철물 연결
보철물을 연결하여 자연치아와 같은 모습과 기능을 재현합니다.
ATTENTION
W DENTAL CLINIC SURGERY
수술 전/후 꼭 주의사항을 체크해주세요.
뼈이식 임플란트 주의사항
잇몸이 벌어지게 되면, 재생되는 골의 양이 현저히 줄어듭니다.
골유도 재생술은 보강된 뼈의 양만큼 부족해진 잇몸을 당겨서 봉합하기 때문에 벌어지기가 쉽고 따라서 수술 부위에 자극이 가지 않도록 많은 주의가 필요합니다.
금연, 금주의 협게 드리거나 떡떡한 음식 섭취를 피하고 처방약을 잘 복용해야 합니다.
수술부위근처로는 칫솔질을 금하고 처방되는 항염으로 씻궈야 합니다.
우리원 운동이나 과로는 치유를 방해할 수 있으니 피해야 합니다.
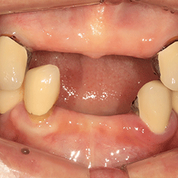
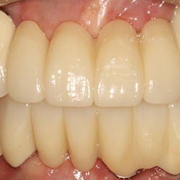
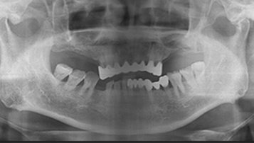
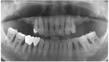
W Dental Clinic Before & After
치료 전후사진

Before

After
뼈이식









