투명교정
투명한 플라스틱 소재로 제작된 교정 장치로, 일상생활에 지장 없이 자연스럽게 치아를 교정할 수 있는 혁신적인 치료법입니다.
투명교정이란?
투명한 플라스틱 소재로 제작된 교정 장치로, 눈에 띄지 않게 치아를 교정하는 치료법입니다.

거의 보이지 않는다
투명한 플라스틱 소재로 제작되어 착용 시 거의 보이지 않습니다

자유로운 식사
식사 시 제거 가능하여 음식 종류에 제한이 없습니다

편리한 구강관리
탈착이 가능하여 평소와 같은 양치질과 치실 사용이 가능합니다

편안한 착용감
매끄러운 표면으로 잇몸과 입술에 상처를 주지 않습니다

사회생활 편리
업무나 사회생활 시 외모 부담 없이 자연스럽게 생활할 수 있습니다

간편한 관리
전용 세정제로 간단하게 세정하여 관리할 수 있습니다

정밀한 치아 이동
3D 시뮬레이션을 통한 정확한 치료 결과 예측

단축된 내원 횟수
기존 교정 대비 내원 횟수를 줄일 수 있습니다
투명교정 치료과정
체계적인 단계별 치료 과정
1
정밀 진단
3D 스캔 및 치료 계획 수립
2
장치 제작
개인 맞춤형 투명 장치 제작
3
장치 착용
단계별 투명 장치 순차 착용
4
정기 검진
6-8주마다 진행 상황 확인
5
유지 관리
치료 완료 후 유지 장치 착용
투명교정 vs 일반교정
투명교정과 일반교정의 차이점 비교
비교 항목
투명교정
일반교정
심미성
✓거의 보이지 않음
금속 브라켓이 보임
편의성
✓제거 가능
고정식
구강관리
✓일반적인 양치질
특별한 관리 필요
식사제약
✓제약 없음
딱딱한 음식 피해야 함
치료기간
✓12-24개월
18-30개월
적용범위
경미~중등도
✓모든 케이스
비용
상대적으로 높음
✓상대적으로 낮음
협조도
환자 협조 필수
✓협조도 무관
인증 및 자격
투명교정 전문 의료진의 인증 정보

Align Technology 공식 인증

대한치과교정학회 인정

3D 디지털 교정 전문 과정 이수
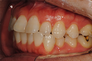
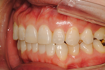
투명교정 치료 사례
실제 투명교정 치료 전후 사례들
돌출입 개선


치료 기간20개월
상하악 돌출로 인한 돌출입을 투명교정으로 자연스럽게 개선
앞니 돌출 해소 케이스1


치료 기간16개월
심한 앞니 돌출을 투명교정으로 점진적으로 개선
앞니 돌출 해소 케이스2


치료 기간12개월
경미한 앞니 돌출을 투명교정으로 빠르게 개선
치열 개선 케이스


치료 기간18개월
전반적인 치열 불규칙을 투명교정으로 완전 개선
투명교정 관리법
투명교정 성공을 위한 올바른 관리 방법

올바른 착용법
- •하루 20-22시간 착용 (식사와 양치 시간 제외)
- •의사 지시에 따라 1-2주마다 다음 단계로 교체
- •새 장치 착용 시 양쪽을 균등하게 물어서 완전히 착용

청소 및 관리
- •뜨거운 물은 변형 위험이 있으니 미지근한 물 사용
- •치약보다는 투명교정 전용 세정제나 중성 세제 사용
- •부드러운 칫솔로 가볍게 문질러 이물질 제거

보관 및 휴대
- •제거 시 반드시 전용 케이스에 보관하여 분실 방지
- •습기가 많은 곳은 피하고 통풍이 잘 되는 곳에 보관
- •직장이나 학교용으로 예비 케이스를 따로 준비

주의해야 할 점
- •착용 중 뜨거운 음료는 장치 변형을 일으킬 수 있음
- •커피, 와인 등 착색 음료는 제거 후 섭취
- •껌이나 사탕 등을 착용 중에 씹지 말 것









