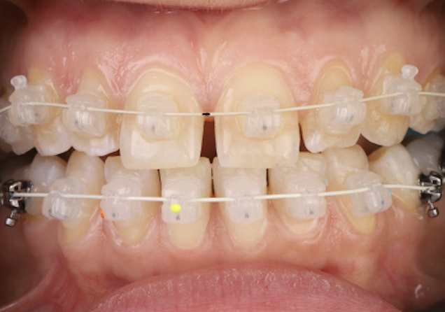
데이몬 자가결찰 교정
더 편안하고 빠른, 과학적인 치아 이동 시스템
데이몬 교정이란?
자가결찰(Self-ligating) 브라켓 시스템으로, 일반 교정보다 마찰이 적어 치아 이동이 자연스럽고 빠릅니다
슬라이드 메커니즘
Ortho Wire + Slide Mechanism 구조로 자연스러운 치아 이동을 구현합니다
W치과의 Damon 맞춤 진료 프로세스
정밀한 디지털 진단부터 최적화된 교정력 조절까지
3D 스캔 분석
Primescan / TRIOS를 통한 정밀 치열·교합 데이터 수집
정확한 치아 배열과 교합 상태를 3차원으로 분석합니다

AI 교정 시뮬레이션
이동 예측·치아 간 거리 최적화
인공지능 기반으로 최적의 치아 이동 경로를 계획합니다

Damon 커스텀 와이어 세팅
교정력 조절, 부작용 최소화
개인별 맞춤형 와이어로 안전하고 효과적인 교정력을 적용합니다

정기 체크 & 교합 미세조정
최소 내원 횟수로 효과 극대화
체계적인 경과 관찰과 정밀한 교합 조정으로 완벽한 결과를 달성합니다

이런 분에게 적합합니다
데이몬 교정은 다음과 같은 분들께 특히 추천됩니다
발치 교정이 부담스러운 분
치아를 뽑지 않고도 효과적인 교정이 가능합니다
교정 중 통증이 걱정되는 분
마찰력 감소로 기존 교정보다 훨씬 편안합니다
복잡한 치아 겹침이 있는 분
자연스러운 치아 이동으로 빠른 교정이 가능합니다
자주 내원하기 어려운 분
내원 주기가 길어 직장·학업과 병행하기 좋습니다
데이몬 교정 vs 일반 교정
과학적인 비교를 통해 알아보는 데이몬 교정의 우수성
| 구분 | 데이몬 교정 | 일반 교정 | 장점 |
|---|---|---|---|
| 장치 구조 | 슬라이드 자가결찰 | 고무링 결찰 | 마찰력 75% 감소 |
| 통증 | 마한 감소로 완화 | 초기 통증 있음 | 대한 감소 |
| 발치 가능성 | 상대적 낮음 | 상대적 높음 | 발치 빈도 ↓ |
| 교정 기간 | 약 6-9개월 단축 가능 | 표준 | 빠른 개인차 |
| 위생관리 | 세척 용이 | 음식물 끼임 | 세척 편의성 |
| 내원 주기 | 6-8주 | 4-6주 | 내원 횟수 ↓ |
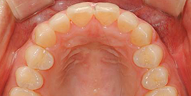
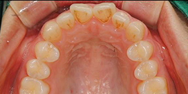
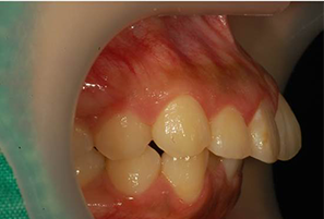
실제 치료 사례
데이몬 교정으로 완성된 아름다운 변화를 확인하세요


비발치 데이몬 교정
치아를 뽑지 않고도 완벽한 치열 개선


돌출 개선 + 얼굴윤곽 변화
자연스러운 치아 이동으로 얼굴형까지 개선
자주 묻는 질문
데이몬 교정에 대한 궁금증을 해결해드립니다
Q.데이몬 교정이 인비절라인보다 좋은가요?
A.투명교정(인비절라인)은 심미성이 높지만, 데이몬은 정교한 치아 이동과 교합 조정에 강점이 있습니다. 치료 목표·생활패턴에 따라 병원에서 가장 적합한 방식을 제안드립니다.
Q.세라믹 데이몬도 가능한가요?
A.네, 투명한 Damon Clear 브라켓으로 심미성까지 유지할 수 있습니다. 기능성과 심미성을 모두 원하시는 분들께 적합합니다.
Q.데이몬 교정 기간은 얼마나 걸리나요?
A.개인차가 있지만 일반적으로 기존 교정보다 6-9개월 정도 단축됩니다. 정확한 기간은 정밀 진단 후 안내해드립니다.
Q.데이몬 교정 비용이 더 비싼가요?
A.초기 비용은 다소 높을 수 있지만, 내원 횟수 감소와 치료 기간 단축을 고려하면 전체적으로 경제적입니다.









