수면 임플란트
편안하고 안전한 수면 상태에서 진행하는 임플란트 수술
수면임플란트란?
치과 공포증이나 극도의 불안감을 가진 환자들을 위해 수면 마취(진정 마취)를 시행하여 완전히 편안한 상태에서 임플란트 수술을 받을 수 있는 치료법입니다. 환자는 수술 중 의식이 없어 통증이나 불안감을 전혀 느끼지 않으며, 마치 잠을 자다가 깨어나면 수술이 완료된 상태입니다.

Before
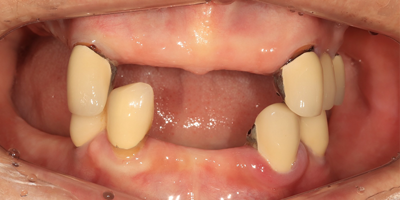
수술 전 환자 구강 상태
수면임플란트가 필요한 경우
치과공포뿐만 아니라 구역질, 턱관절 통증, 국소마취 등 다양한 이유로 수면 임플란트를 고려하게 됩니다.

치과 공포가 심한 경우

턱관절이 아파 입 벌리기 힘든 경우

구역질이 심한 경우

한 번에 여러 치료를 받고 싶은 경우

국소마취가 잘 되지 않는 경우

체력적 피로감을 겪기 힘든 경우
이런 경우라면 수면임플란트를 고려해보세요
편안하고 안전한 수면상태에서 모든 치료가 가능합니다
수면 마취의 종류
환자의 상태와 수술 범위에 따라 적합한 수면 마취 방법을 선택합니다
경구 진정
Level 1가스 형태 진정제를 흡입하여 긴장을 완화하는 방법
주요 특징
- 가벼운 불안감 완화
- 의식 유지 상태
- 정확한 농도 조절 어려움
- 환기 시스템 구비 문제
적합한 환자
치과 공포증이 경미한 환자 (제한적 효과)
의식하 진정
Level 2인퓨전펌프를 통한 정맥투여로 안전하게 조절 (더블유치과 메인)
주요 특징
- 인퓨전펌프로 정확한 약물량 조절
- 수면 깊이 안전하게 컨트롤
- 실시간 농도 조절 가능
- 빠른 회복과 높은 안전성
적합한 환자
대부분의 임플란트 환자에게 안전하게 적용
전신 마취
Level 3완전한 무의식 상태에서 시행하는 전신 마취법 (삽관 필요)
주요 특징
- 완전한 무의식 상태
- 삽관 및 입원 필요
- 제한적 적용
- 전문 관리 필수
적합한 환자
양악수술, 신경손상위험이 높은 사랑니발치 등 제한적 사용
수면임플란트 수술 과정
안전하고 체계적인 과정으로 편안한 임플란트 수술을 진행합니다

수술 전 상담
전신 상태 확인 및 마취 적합성 평가

금식 안내
수술 8시간 전부터 금식 시작

마취 준비
생체 징후 모니터링 장비 연결

수면 마취
치과진정 인정의가 안전하게 진정 시행

임플란트 수술
무의식 상태에서 편안하게 수술 진행

회복 및 귀가
마취 각성 후 충분한 회복 시간 제공
수면임플란트의 특별한 장점
기존 임플란트 대비 압도적으로 편안하고 안전한 치료

공포감 완전 제거
치과 공포증 환자도 편안하게 수술 가능

완전 무통 수술
수술 중 통증을 전혀 느끼지 않음

기억 차단 효과
수술에 대한 무서운 기억이 남지 않음

빠른 일상 복귀
회복이 빠르고 일상생활에 지장 없음

정확한 수술
환자가 움직이지 않아 더욱 정밀한 수술

전문의 관리
치과진정 인정의가 직접 안전 관리

실시간 모니터링
첨단 장비로 생체 징후 실시간 감시

높은 만족도
환자 만족도 98% 이상의 검증된 치료
수면임플란트 주의사항
안전한 수술을 위해 반드시 지켜야 할 사항들입니다
수술 전 준비사항

금식 필수
수술 8시간 전부터 음식 섭취 금지, 2시간 전부터 물 섭취 금지

복용약물 확인
평소 복용 중인 약물에 대해 반드시 사전 상담

교통수단 준비
수술 후 직접 운전 불가, 보호자 동반 필수

편안한 복장
헐렁하고 편안한 옷차림으로 내원
수술 후 관리사항

충분한 휴식
수술 당일은 충분한 휴식을 취하고 무리한 활동 금지

운전 금지
수술 24시간 이내 운전, 중요한 결정 금지

수분 섭취
마취 후 충분한 수분 섭취로 빠른 회복 도움

응급상황 대비
이상 증상 발생 시 즉시 병원 연락









