수면 스케일링
민감한 치아를 위한 편안하고 무통인 스케일링 치료
수면스케일링이란?
극도로 민감한 치아나 잇몸을 가진 환자, 또는 스케일링에 대한 불안감이 심한 환자들을 위해 수면 마취(진정 마취) 상태에서 시행하는 전문 구강 관리 서비스입니다. 환자는 편안한 잠든 상태에서 치석 제거와 잇몸 치료를 받을 수 있어 스트레스 없이 건강한 구강을 유지할 수 있습니다.

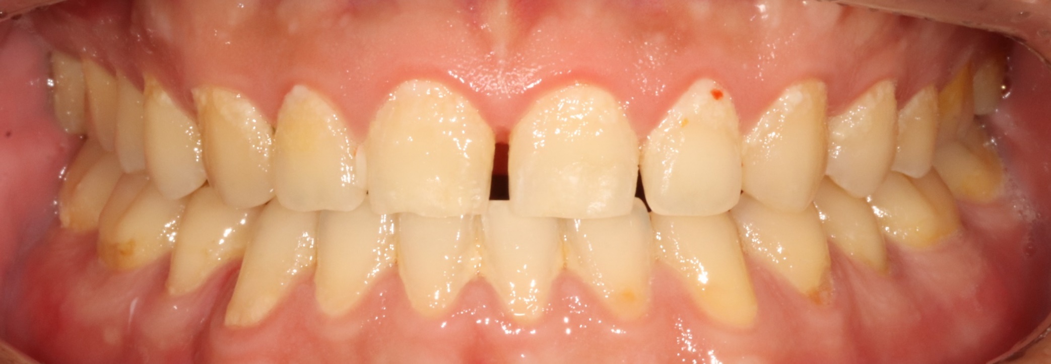
Before - 정면
치석이 쌓인 전체적인 치아 상태

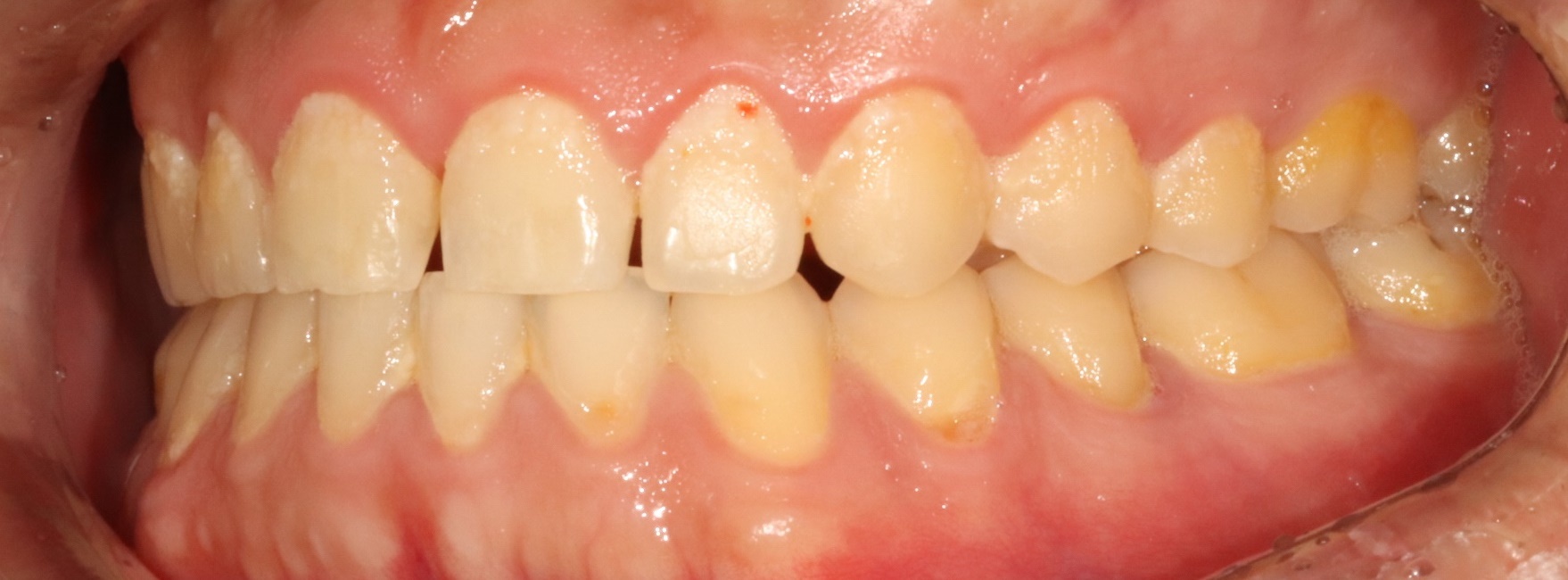
Before - 좌측
좌측 치아의 치석 축적 상태

Before - 우측
우측 치아의 치석 축적 상태

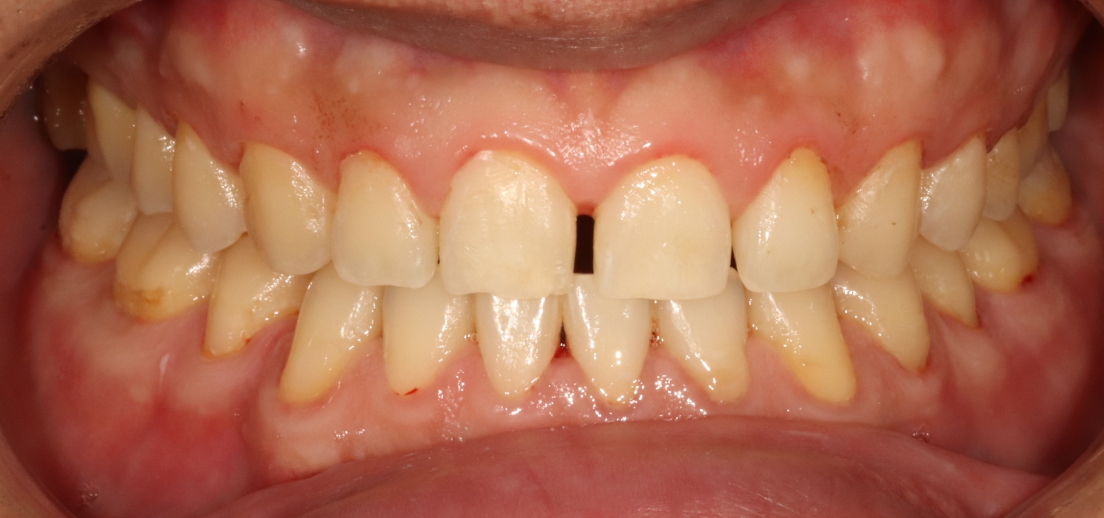
After - 정면
스케일링 후 깨끗해진 치아 상태

After - 좌측
좌측 치아의 완벽한 치석 제거 상태

After - 우측
우측 치아의 완벽한 치석 제거 상태
스케일링 종류별 특징
환자의 구강 상태에 따라 최적의 스케일링 방법을 적용합니다
기본 스케일링
Basic일반적인 치석 제거 및 치면 세마 스케일링
치료 범위
- 치은 상부 치석 제거
- 치면 착색 제거
- 기본 잇몸 마사지
- 구강 건강 관리
적합한 환자
정기 구강 관리 환자
심화 스케일링
Advanced치은 하부 치석까지 철저하게 제거하는 전문 스케일링
치료 범위
- 치은 하부 깊은 치석 제거
- 루트 플래닝 시행
- 항균 치료 병행
- 잇몸 염증 개선
적합한 환자
치주염 초기 단계 환자
치주 치료
Professional잇몸 질환 치료를 위한 전문적인 치주 스케일링
치료 범위
- 깊은 치주낭 관리
- 잇몸 수술 병행 가능
- 항생제 치료 연계
- 장기 관리 계획 수립
적합한 환자
중등도 이상 치주염 환자
수면스케일링 치료 과정
편안하고 체계적인 과정으로 완벽한 구강 관리를 제공합니다

구강 검진
치석 축적 정도와 잇몸 상태 정밀 검사

치료 계획
환자 상태에 맞는 맞춤형 치료 계획 수립

수면 유도
편안한 수면 상태로 안전하게 마취 유도

스케일링
무의식 상태에서 철저한 치석 제거

치면 연마
치아 표면을 매끄럽게 연마 처리

불소 도포
충치 예방을 위한 불소 도포 마무리
수면스케일링의 특별한 장점
편안하고 완벽한 구강 관리로 건강한 잇몸 유지

불편함 제로
치아 민감성으로 인한 불편함 완전 해소

완벽한 치석 제거
환자 움직임 없이 철저한 치석 제거

구강 건조증 해결
긴장으로 인한 구강 건조 문제 없음

치료 시간 단축
협조적 상태로 치료 시간 최적화

정밀한 치료
세밀한 부위까지 정확하게 관리

안전한 시술
전문 마취과 의사의 안전 관리

스트레스 해소
치과 공포증 없는 편안한 치료

높은 효과
완벽한 스케일링으로 최대 효과
수면스케일링 관리 방법
효과적인 구강 건강 유지를 위한 관리 방법입니다
시술 전 준비사항
구강 청결 유지
시술 전날 충분한 양치질로 구강을 깨끗이
복용 약물 확인
혈액 응고 관련 약물 복용 여부 사전 상담
금식 준수
수면 마취 전 8시간 금식 필수
교통편 준비
시술 후 직접 운전 불가, 보호자 동반
시술 후 관리법
부드러운 양치
24시간 후부터 부드러운 칫솔로 gentle 양치
충분한 수분
잇몸 회복을 위해 충분한 수분 섭취
자극적인 음식 피하기
매운 음식, 뜨거운 음료 24시간 금지
정기적인 관리
3-6개월마다 정기 스케일링으로 지속 관리









