수면 라미네이트
불안감 없이 완벽한 심미치료를 진행하는 수면 라미네이트
수면라미네이트란?
치아 삭제에 대한 불안감이나 시술 시간이 긴 라미네이트 치료를 수면 마취(진정 마취)를 통해 편안하게 받을 수 있는 심미 치료법입니다. 환자는 시술 중 편안한 잠든 상태에서 아름다운 미소를 완성할 수 있으며, 깨어나면 새롭게 변화된 치아를 확인할 수 있습니다.

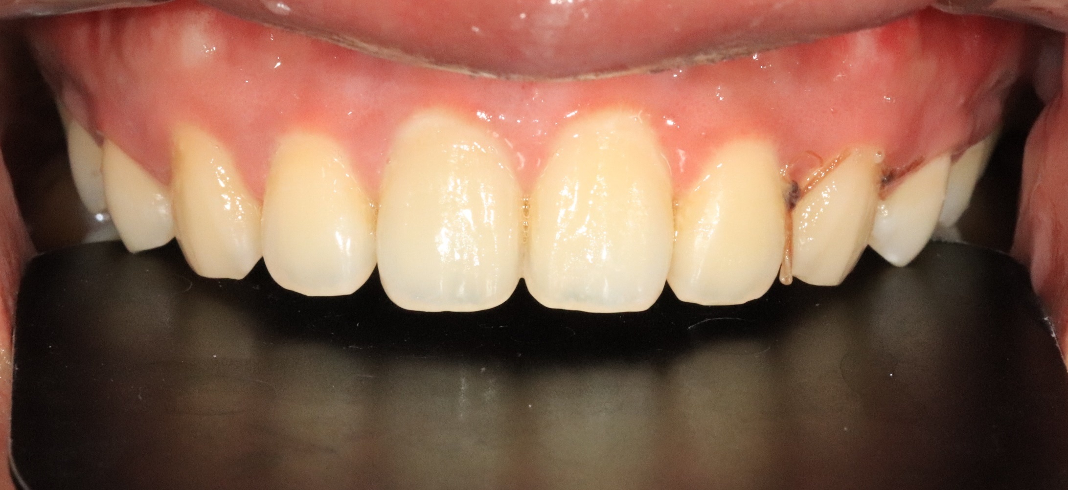
Before 위 앞니
시술 전 위 앞니 상태
라미네이트 종류별 특징
환자의 치아 상태와 심미적 요구에 따라 최적의 라미네이트를 선택합니다

이브 제로 (Eve Zero)
Feldspar Veneer
포세린 라미네이트
Premium수작업 장석 도재 라미네이트
주요 특징
- 자연치아와 동일한 투명도
- 색상 변화 없이 반영구적
- 잇몸에 친화적인 생체재료
- 완벽한 심미성 구현
추천 대상
최고 품질을 원하는 환자

이브 (Eve)
Lithium Disilicate + Feldspar
지르코니아 라미네이트
Advanced리튬 디실리케이트 + 펠드스파 수작업 비니어
주요 특징
- 뛰어난 강도와 내구성
- 금속 알레르기 걱정 없음
- 자연스러운 색조 재현
- 치아 삭제량 최소화
추천 대상
강도와 심미성을 동시에 원하는 환자

아담 원 (Adam One)
CEREC Vita Mark II
컴포지트 라미네이트
EssentialCEREC 디지털 제작 라미네이트
주요 특징
- 하루 만에 완성 가능
- 치아 삭제 최소화
- 경제적인 비용
- 수정 및 보수 용이
추천 대상
빠른 시술을 원하는 환자
수면라미네이트 시술 과정
편안하고 정밀한 과정으로 아름다운 미소를 완성합니다

디자인 상담
원하는 치아 모양과 색상 디자인 결정

마취 준비
수면 마취를 위한 사전 검사 및 준비

수면 상태
편안한 수면 상태에서 시술 시작

치아 형성
정밀하게 치아 표면을 형성

인상 채득
정확한 라미네이트 제작을 위한 인상

라미네이트 부착
제작된 라미네이트를 정밀하게 부착
수면라미네이트의 특별한 장점
편안하고 안전한 심미 치료로 완벽한 미소 완성

시술 불안감 제거
치아 삭제에 대한 불안감 완전 해소

시간 단축 효과
긴 시술 시간을 느끼지 않음

정밀한 시술
환자가 움직이지 않아 더욱 정교한 작업

완벽한 심미성
자연치아와 구별되지 않는 아름다운 결과

안전한 마취
전문 마취과 의사의 안전한 관리

즉시 확인 가능
깨어나자마자 새로운 미소 확인

빠른 적응
자연스러운 느낌으로 빠른 적응

높은 만족도
환자 만족도 99% 이상의 심미 치료
수면라미네이트 관리 방법
오래도록 아름다운 라미네이트를 유지하는 방법입니다
시술 전 준비사항
구강 상태 점검
충치나 잇몸 질환이 있다면 사전 치료 완료
금식 준수
수술 8시간 전부터 금식, 2시간 전부터 물 금지
색상 결정
원하는 치아 색상과 모양 미리 결정
상담 완료
전체 치료 계획과 예상 결과 충분히 상담
시술 후 관리법
올바른 양치
부드러운 칫솔로 gentle하게 양치질
딱딱한 음식 피하기
견과류, 얼음 등 딱딱한 음식 섭취 금지
착색 음식 주의
커피, 와인 등 착색 유발 음식 제한
정기 검진
6개월마다 정기 검진으로 상태 확인









