원데이 인레이로 하루 만에 완성
CEREC 시스템으로 하루 안에 정밀한 인레이 치료가 완성됩니다
CEREC 원데이 인레이란?
독일 DENTSPLY SIRONA사의 CEREC 시스템을 활용하여 하루 만에 완성되는 정밀한 인레이 치료입니다. PrimeScan으로 정확한 구강 스캔을 하고, PrimeMill에서 개인 맞춤형 인레이를 제작하여 즉시 장착합니다.
한 번의 방문으로 치료 완료
임시 치아 불필요, 즉시 완성
디지털 정밀도로 완벽한 핏
세라믹 소재로 자연스러운 색상
첨단 CEREC 시스템
독일 DENTSPLY SIRONA사의 최첨단 디지털 치과 장비

PrimeScan
몇 초 만에 정확한 구강 스캔
초고속 스캔 기술
정밀한 디지털 인상
환자 편의성 극대화
인상재 불필요

PrimeMill
5-15분 내 정밀한 인레이 제작
최첨단 CAM 기술
세라믹 블록 정밀 가공
완벽한 색상 매칭
즉시 제작 완료

SpeedFire
세라믹 인레이 즉시 소결
고온 급속 소결
최종 마무리 완성
내구성 극대화
자연스러운 광택
5단계 원데이 인레이 치료과정
첨단 CEREC 시스템으로 하루 만에 완성되는 치료 과정

STEP 01
구강 검진
충치 부위 정밀 진단 및 치료 계획 수립

STEP 02
PrimeScan 스캔
디지털 구강 스캔으로 정확한 3D 모델링

STEP 03
CAD 디자인
컴퓨터로 개인 맞춤형 인레이 설계

STEP 04
밀링 & 소결
PrimeMill 가공 후 소결로 인레이 완성

STEP 05
보철물 장착
완성된 인레이를 정밀하게 장착 및 교합 조정
CEREC 원데이 인레이의 특별한 장점
기존 인레이 치료와 비교할 수 없는 혁신적 경험

즉시 완성
하루 만에 모든 치료 완료, 재방문 불필요

디지털 정밀도
CAD/CAM 기술로 완벽한 핏과 자연스러운 교합

프리미엄 세라믹
자연치와 동일한 색상과 강도의 세라믹 소재

장기 내구성
10년 이상 사용 가능한 뛰어난 내구성

편안한 치료
인상재 사용 없이 편리하고 빠른 스캔

생체친화성
알레르기 반응 없는 안전한 세라믹 소재

자연스러운 심미성
자연치와 구별되지 않는 완벽한 색상 매칭

강력한 접착력
특수 접착 시스템으로 영구적인 결합력
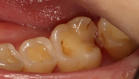
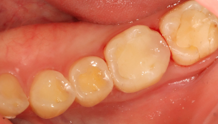
원데이 인레이 치료 결과
CEREC 시스템으로 완성된 실제 치료 사례
Before

After










