치아성형
강남더블유치과의 치아성형 진료를 안내해드립니다.
치아성형이란?
치아성형은 깨지거나 변색된 치아, 벌어진 치아 사이 등을 자연스럽게 회복시켜 아름다운 미소를 만드는 심미치료입니다.
치아성형의 특징
치아를 깎지 않는 보존적 치료
자연치아와 유사한 색상과 질감
즉시 효과를 볼 수 있는 당일 치료
개인별 맞춤형 디자인

치아성형이 필요한 이유

깨끗한 치아 표면
밝고 깨끗한 치아로 틈이 벌어진 곳을 메꿔줍니다

개인별 맞춤치아
본인의 치아와 모양이 닮은 치아를 원할 때

치아가 깨진 경우
충치나 외부의 충격으로 치아가 깨지거나 일부 손상된 경우

변색/변형된 치아
담배나 커피로 인해 변색된 치아를 치료
치아성형 방법
환자의 상태와 요구에 따라 최적의 치아성형 방법을 선택합니다
01
뻐드치아성형
치아교정이 오래 걸린다고 생각하거나 간단하게 교정을 원하는 분들을 위한 방법


특징
- 가볍게 돌출된 치아 보정
- 전체 치아를 깨끗이 변화
- 단정하고 잘 맞는 치아
- 빠른 치료 진행
03
올세라믹
치아의 일부를 정도가 심하고 수리보다 더 큰 힘이 가해질 때 제공하는 치료


특징
- 자연치아와 높은 친화도
- 알레르기 부작용 없음
- 자연치와 유사한 투명도
- 뛰어난 경도와 내구성
04
지르코니아
금속보다 단단하면서 치아와 유사한 색깔의 재료로 만들어서 씌우는 치료


특징
- 금속보다 뛰어난 강도
- 자연치아와 유사한 색상
- 정밀하게 제작
- 미세 조정 가능
치료 전후 비교
강남더블유치과 치아성형의 놀라운 변화를 확인하세요
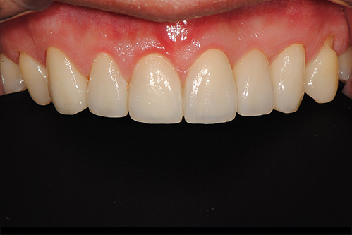
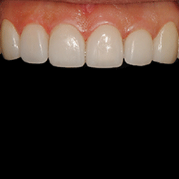
앞니성형 전후

Before
불균형한 앞니

After
균형잡힌 미소
돌출치아 전후

Before
돌출된 치아

After
자연스러운 배열











