ICON 치료
강남더블유치과의 ICON 치료를 안내해드립니다.
ICON 치료란?
ICON 치료는 초기 충치를 드릴링 없이 치료하는 혁신적인 방법으로, 치아를 깎지 않고도 충치를 효과적으로 제거할 수 있는 최첨단 치료법입니다.
ICON 치료의 특징
드릴링 없는 무통 치료
자연치아 최대 보존
단 한 번의 방문으로 치료 완료
마취가 필요 없는 편안한 치료
ICON 치료가 필요한 경우
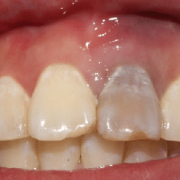
초기 충치
법랑질 초기 탈회 단계의 충치
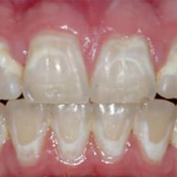
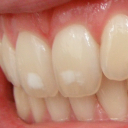
백색 반점
치아 표면의 하얀 점이나 반점
교정 후 탈회
교정 치료 후 생긴 하얀 반점
치아 보존
자연치아를 최대한 보존하고 싶은 경우
ICON 치료법
드릴링 없는 혁신적인 ICON 치료 과정을 영상으로 확인하세요
🎯
정밀한 진단
초기 충치와 화이트스팟을 정확히 진단
💧
레진 침투
특수 레진이 치아 내부로 침투
✨
즉시 완성
광중합으로 즉시 치료 완료
DMG ICON 7단계 전문 프로토콜
DMG ICON 시스템의 표준화된 치료 프로토콜
1
치아 세정
러버댐 격리
플라그 제거 및 격리
5분
2
Icon-Etch
15% HCl
표면층 제거
2분
3
Icon-Dry
99% 에탄올
병소 건조
30초
4
Icon-Infiltrant
저점도 레진
1차 침투
3분
5
광중합
LED 중합기
1차 경화
40초
6
2차 침투 & 중합
Icon-Infiltrant
완벽한 밀봉
1분+40초
치료 진행 타임라인
총 15-20분세정EtchDry침투중합완료
⏱️
총 시간
15-20분
💉
마취
불필요
🦷
드릴링
없음
✅
성공률
90% 이상
치료 전후 비교
강남더블유치과 ICON 치료의 놀라운 변화를 확인하세요









