잇몸성형
강남더블유치과의 잇몸성형 진료를 안내해드립니다.
잇몸성형이란?
잇몸성형은 과도하게 노출되거나 불균형한 잇몸라인을 정교하게 다듬어 아름다운 스마일라인을 만드는 심미치료입니다.
잇몸성형의 특징
과도한 잇몸 노출 개선
불균형한 잇몸라인 교정
치아와 잇몸의 조화로운 비율 완성
자연스럽고 아름다운 미소라인 형성

잇몸성형이 필요한 이유

거미스마일
웃을 때 잇몸이 과도하게 보이는 경우

불균형한 잇몸라인
좌우 잇몸 높이가 다른 경우

치아가 짧아 보이는 경우
잇몸이 치아를 많이 덮고 있는 경우

잇몸 비대증
잇몸이 비정상적으로 커진 경우
잇몸미백이란?
잇몸미백은 검게 변색된 잇몸을 건강한 분홍빛으로 되돌리는 시술로, 흡연이나 색소침착으로 어두워진 잇몸을 개선합니다.

잇몸미백의 특징
검은 잇몸을 건강한 분홍빛으로 개선
레이저를 이용한 정밀하고 안전한 시술
빠른 회복과 자연스러운 결과
흡연으로 인한 색소침착 해결
잇몸미백이 필요한 이유

흡연으로 인한 변색
담배의 니코틴과 타르로 인한 색소침착

멜라닌 색소침착
선천적 또는 후천적 멜라닌 색소 침착

약물로 인한 변색
특정 약물 복용으로 인한 잇몸 변색

전체적인 심미개선
치아미백과 함께 전체적인 구강 미용
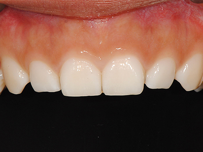
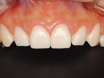
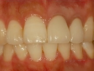
치료 전후 비교
강남더블유치과 잇몸성형과 잇몸미백의 놀라운 변화를 확인하세요
잇몸성형 전후

Before
불균형한 잇몸라인

After
조화로운 스마일라인
잇몸미백 전후

Before
색소침착된 잇몸

After
건강한 분홍빛 잇몸









