원데이 라미네이트로 완벽한 미소
CEREC 시스템으로 하루 안에 자연스럽고 아름다운 라미네이트가 완성됩니다
CEREC 원데이 라미네이트란?
독일 DENTSPLY SIRONA사의 CEREC 시스템을 활용하여 하루 만에 완성되는 프리미엄 라미네이트 치료입니다. 최소한의 치아 삭제로 자연스럽고 아름다운 미소를 즉시 만들어드립니다.
하루 만에 완벽한 미소 완성
최소 침습적 치아 삭제
자연치보다 우수한 심미성
반영구적 사용 가능
원데이 라미네이트가 필요한 경우
CEREC 라미네이트로 해결할 수 있는 심미적 문제들
🎨
치아 변색
미백으로 해결되지 않는 심한 변색이나 얼룩
📏
치아 간격
앞니 사이의 간격이나 불규칙한 치아 배열
✨
치아 형태
작거나 기형인 치아, 마모된 치아의 형태 개선
😊
미소 라인
불균등한 미소 라인이나 치아 길이의 부조화
💔
치아 파절
앞니의 작은 파절이나 치아 끝의 손상
🔄
기존 충전물
앞니의 오래된 레진이나 변색된 충전물
🌟
치아 표면
거친 치아 표면이나 법랑질 결손
💎
심미 개선
전체적인 미소의 조화와 심미성 향상
4단계 원데이 라미네이트 과정
최소 침습적 방법으로 완성되는 아름다운 미소
STEP 01 • 30분
미소 디자인 & 치아 준비
개인별 얼굴형과 조화를 이루는 맞춤 미소 디자인 후 최소한의 치아 삭제
Digital Smile Design으로 미소 분석
Mock-up으로 미리보기 제공
0.3-0.7mm 최소 삭제
치아 보존 최대화

STEP 02 • 10분
PrimeScan 정밀 스캔
광학 스캐너로 미세한 디테일까지 정확하게 스캔하여 3D 모델 생성
초정밀 광학 스캔
색상 정보 동시 기록
실시간 3D 모델 확인
인상재 불쾌감 없음

STEP 03 • 25분
CAD 디자인 & 밀링
AI 기반 소프트웨어로 라미네이트 설계 후 PrimeMill에서 정밀 제작
인공지능 자동 설계
개인별 맞춤 형태 생성
초슬림 세라믹 가공
완벽한 색상 매칭

STEP 04 • 20분
접착 & 마무리
특수 접착 시스템으로 영구 접착 후 최종 형태 및 색상 조정
강력한 레진 접착
미세 교합 조정
표면 광택 처리
최종 품질 확인

총 소요시간: 약 1시간 30분
CEREC vs 기존 라미네이트
디지털 혁신으로 달라진 라미네이트 치료
CEREC 원데이 라미네이트
⚡치료 완료
당일 완성📅병원 방문
1회❌임시 라미네이트
불필요🪶치아 삭제량
최소 0.3mm🤖제작 방식
디지털 CAD/CAM🎨색상 매칭
완벽 재현💪접착 강도
최대 강도💎내구성
15년+기존 라미네이트
🐌치료 완료
2-3주🔄병원 방문
2-3회😰임시 라미네이트
필수🔪치아 삭제량
0.5-0.7mm👷제작 방식
수작업 기공🤔색상 매칭
기공사 숙련도🤝접착 강도
일반적⏳내구성
7-10년원데이 라미네이트 변화
하루 만에 완성된 극적인 미소 변화
상하악 라미네이트
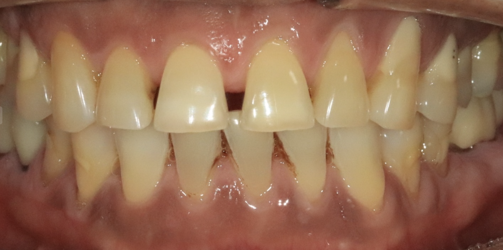
Before

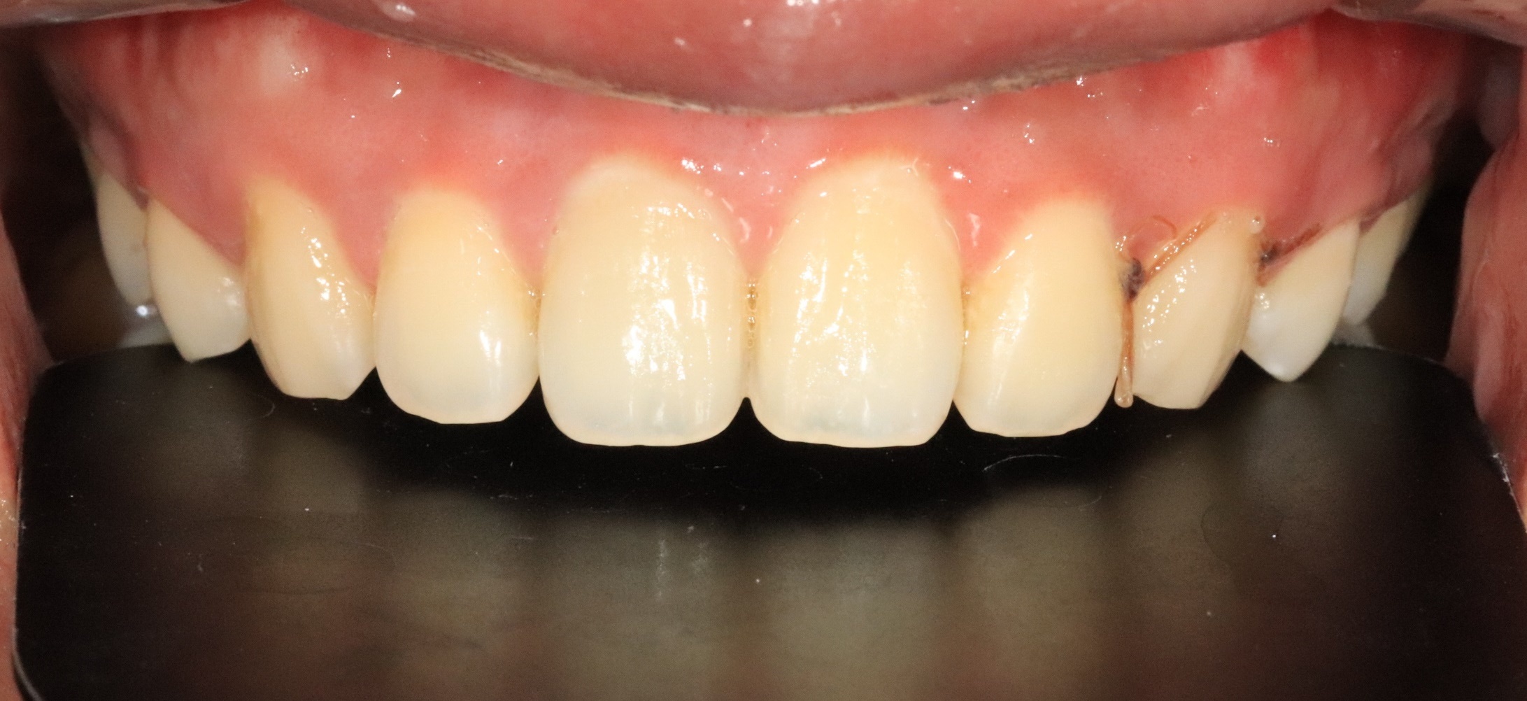
After

전체적인 앞니 변색과 형태를 자연스럽게 개선
상악 라미네이트
Before

After

상악 앞니의 미소 라인과 색상 완벽 개선
CEREC 라미네이트만의 특별함
디지털 정밀도와 예술적 감각의 완벽한 조화
🎨
Digital Smile Design
AI 기반 미소 분석으로 개인별 최적의 라미네이트 디자인
얼굴형 분석 및 조화
립라인과 미소곡선 고려
개인별 선호도 반영
3D 시뮬레이션 미리보기
🪶
Ultra-Thin Ceramic
0.3mm 초슬림 세라믹으로 최소 침습적 치료
자연치 최대 보존
투명도 완벽 재현
강도와 심미성 극대화
장기간 변색 방지
🌈
Perfect Color Matching
분광 광도계 색상 분석으로 완벽한 색상 재현
16개 색조 정밀 분석
투명도와 명도 정확 재현
인접 치아와 완벽 조화
자연스러운 그라데이션









