Smile Atelier 진료철학
시간이 오래 걸리더라도 더 아름답고 환자에게 좋은 진료를 하는 프로세스
Smile Atelier란?
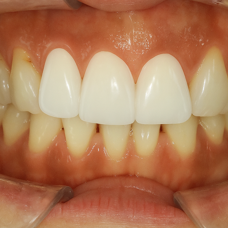
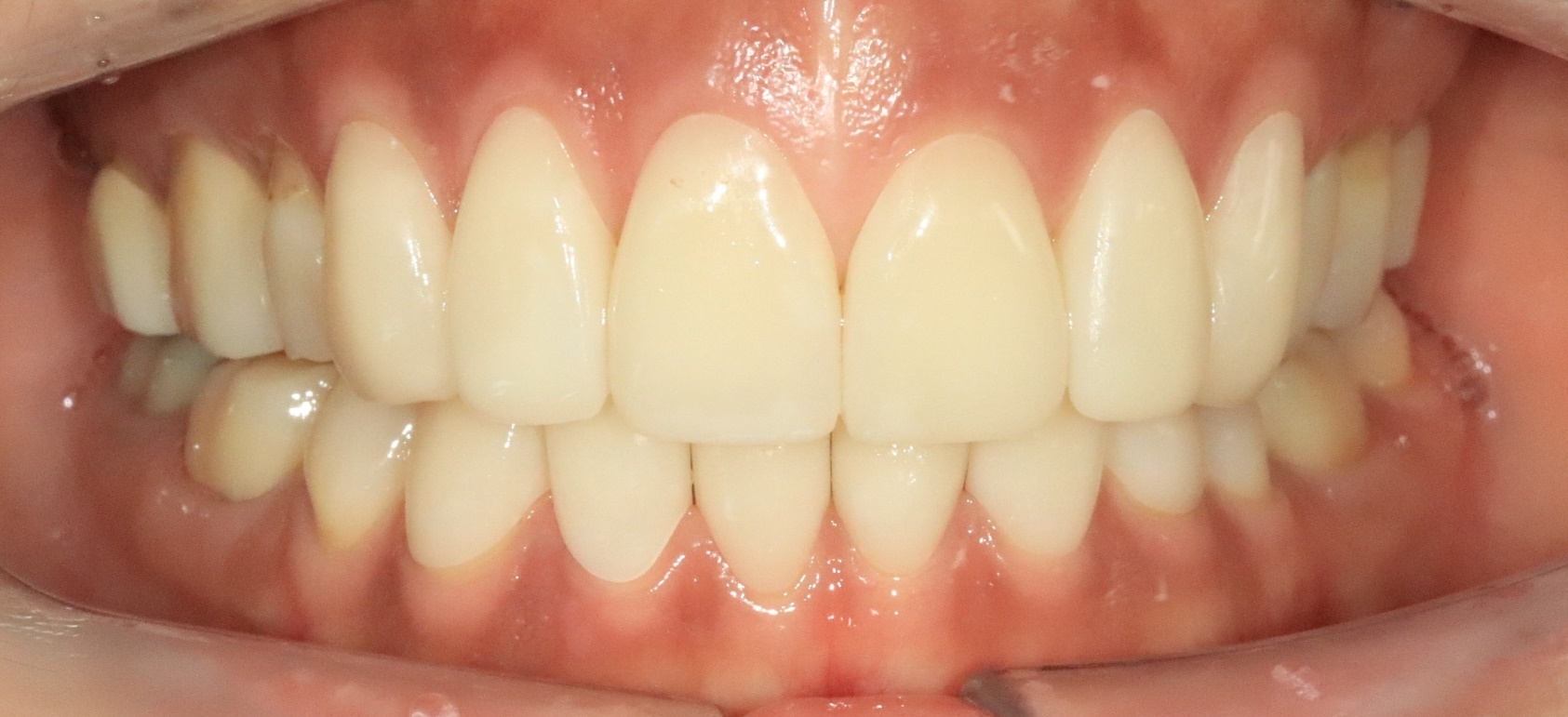
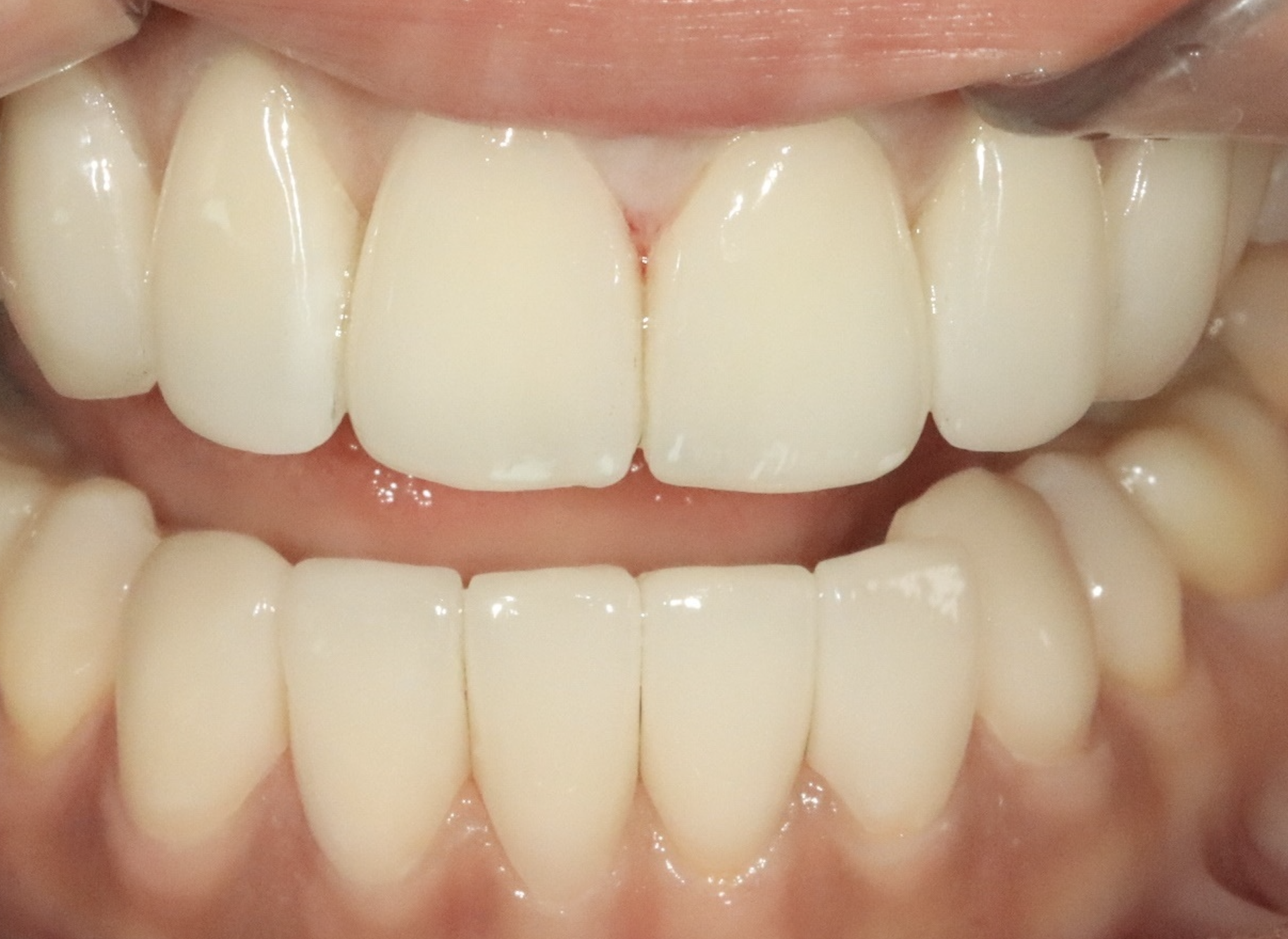
Smile Atelier는 더블유치과에서 운영하는 프리미엄 veneer 기공소입니다. 우리는 veneer를 예술작품처럼 만들고자 해서 작업공간의 이름을 Smile Atelier로 지었습니다.

예술적 작품
veneer를 단순한 치과 치료가 아닌 예술작품으로 접근하여 최고의 심미성을 추구합니다

시간 투자
시간이 오래 걸리더라도 더 아름답고 환자에게 좋은 진료를 하는 것이 목표입니다

정밀 기술
프리미엄 기공소 수준의 정밀한 기술과 최고급 재료로 완벽한 결과를 만들어냅니다
Smile Atelier 제작 과정
예술작품을 만들어가는 정밀한 과정
진단 및 분석
환자의 구강 상태와 요구사항을 정밀하게 진단하고 분석하여 최적의 치료 계획을 수립합니다.

디지털 시뮬레이션
3D 디지털 기술을 활용하여 치료 후 결과를 미리 시뮬레이션하고 환자와 함께 확인합니다.

시뮬레이션 비니어 제작
환자가 확인한 디자인을 바탕으로 실제와 동일한 시뮬레이션 비니어를 제작하여 최종 확인합니다.

환자와 충분한 상의
시뮬레이션 비니어를 통해 환자와 충분히 상의하고 만족할 때까지 디자인을 조정합니다.

실제 비니어 제작
최종 확정된 디자인을 바탕으로 숙련된 기공사가 정밀하게 실제 비니어를 제작합니다.

환자 만족도 확인
완성된 비니어를 환자가 직접 확인하고 100% 만족할 때까지 세심하게 조정합니다.

최종 완성 및 사후관리
완벽한 결과를 위한 최종 마무리와 지속적인 사후관리 서비스를 제공합니다.

사후 관리 시스템
완성된 치료 이후에도 지속적인 관리와 점검을 통해 오래도록 아름다운 미소를 유지할 수 있도록 도와드립니다.

삭제량 최소화 철학
더블유치과는 건강한 자연치아를 최대한 보존하면서도 완벽한 심미 결과를 추구하는 보존적 치료 철학을 바탕으로 합니다.
기존 방식의 문제점
Smile Atelier의 보존적 접근
Smile Atelier의 궁극적 목표
"삭제를 적게, 안전하고 부작용 없으면서도 아름다운 치아를 갖게 하는 것"
우리의 약속
시간이 오래 걸리더라도 더 아름답고 환자에게 좋은 진료를 하는 프로세스를 만드는 것이 목표입니다. Smile Atelier에서는 각 환자의 치아를 하나의 예술작품으로 여기며, 최고의 결과를 위해 최선을 다하겠습니다.









