더블유치과 클리피씨교정
셀프라이게이션 시스템으로 마찰을 줄이고 치료 기간을 단축합니다
클리피씨교정은 기존의 철사나 고무링 으로 와이어를 고정하는 방식 대신 클립 시스템
CLIPPY-C

자가결찰 브라켓의 원리
브라켓과 자체에서 아치와이어를 잡아주어 결찰물이 필요하지 않습니다.
종합적인 교정 치료를 제공하며, 교정과정 중에 이물질이 끼지 않습니다.



간편하고 빠른 교정
복잡한 고무링 교체 과정이 필요 없어 치료가 간편합니다
클립 시스템으로 와이어 장착과 제거가 쉽고 빠릅니다
마찰력이 적어 치아가 부드럽게 이동하며 통증이 현저히 줄어듭니다
내원 간격이 길어져 바쁜 일상 중에도 무리 없이 치료받을 수 있습니다
브라켓 표면이 매끄러워 음식물 끼임이 적고 관리가 용이합니다
빠른 치료 완성
셀프라이게이션 시스템으로 치아가 더 빠르게 이동합니다
기존 교정 대비 25-30% 단축된 치료 기간을 제공합니다
6-8주 간격의 긴 내원 주기로 시간을 절약할 수 있습니다
효율적인 치료 진행으로 더 빠른 결과를 확인할 수 있습니다
개인의 생활 패턴에 맞춘 유연한 치료 스케줄이 가능합니다
공식 인증 클리피씨
Tomy International
일본 공식 인증
정식 라이선스 취득
더블유치과는 일본 Tomy International에서 공식 인증받은 클리피씨 정식 라이선스 클리닉으로, 검증된 기술과 안전한 치료를 제공합니다.

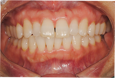
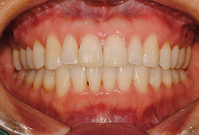
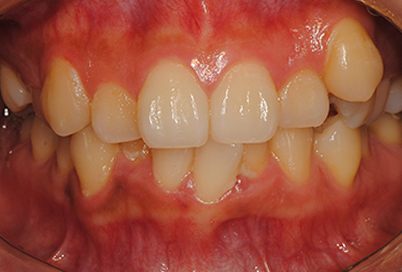
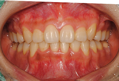
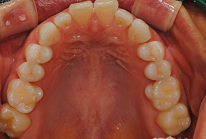
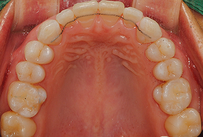
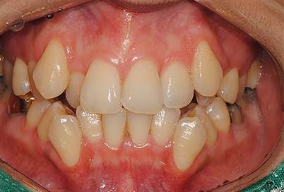
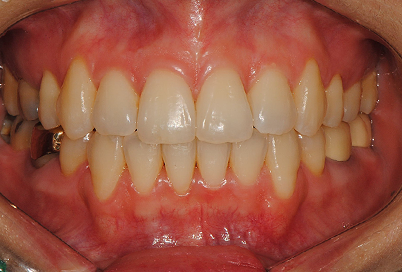
클리피씨교정 치료 사례
클리피씨 시스템으로 완성된 아름다운 미소








클리피씨교정 종류
다양한 클리피씨 시스템으로 개인별 맞춤 교정 치료를 제공합니다
클리피씨 메탈
스테인리스 스틸 클립 시스템
주요 특징
- 클립 시스템으로 마찰력 최소화
- 내구성이 뛰어난 스테인리스 스틸
- 빠른 치료 기간 (기존 대비 25% 단축)
- 내원 횟수 감소 (6-8주 간격)
장점
- • 가장 경제적인 가격
- • 강한 내구성
- • 빠른 치료 효과
단점
- • 금속색으로 눈에 띔
- • 심미성 한계
클리피씨 세라믹
치아색 세라믹 브라켓
주요 특징
- 치아색과 유사한 자연스러운 심미성
- 세라믹 소재로 착색 저항성 우수
- 클립 시스템으로 편안한 치료
- 성인 환자에게 적합한 디자인
장점
- • 자연스러운 치아색
- • 착색 저항성
- • 성인에게 적합
단점
- • 메탈보다 높은 비용
- • 크기가 약간 큼
클리피씨 사파이어
투명 사파이어 크리스탈
주요 특징
- 완전 투명한 사파이어 크리스탈
- 최고급 심미성과 내구성
- 빛 반사율이 낮아 눈에 띄지 않음
- 프리미엄 클리피씨 시스템
장점
- • 완전 투명한 심미성
- • 최고급 소재
- • 눈에 띄지 않음
단점
- • 가장 높은 비용
- • 예약 대기 기간
클리피씨 치료과정
체계적인 5단계 클리피씨 교정 과정

정밀 진단
3D CT 촬영 및 디지털 분석으로 정확한 진단

클리피씨 부착
개별 치아에 클리피씨 브라켓 정밀 부착

와이어 장착
클립 시스템으로 와이어를 부드럽게 고정

정기 점검
6-8주마다 진행 상황 확인 및 와이어 교체

교정 완성
목표 달성 후 유지 장치 착용
클리피씨의 특별한 장점
셀프라이게이션 시스템의 혁신적 장점들

빠른 치료
기존 교정 대비 20-30% 빠른 완료

편안함
낮은 마찰력으로 통증 최소화

쉬운 조절
클립 시스템으로 간편한 와이어 교체

구강 관리
매끄러운 표면으로 플라그 축적 방지

짧은 내원시간
간단한 와이어 교체로 시간 절약

정밀한 이동
생리적 힘으로 자연스러운 치아 이동

효율적
적은 조정 회수로 간편한 와이어 관리

만족도
높은 환자 만족도와 성공률









