Straumann® Emdogain® 치주재생치료
스위스 Straumann사의 Emdogain®으로 자연치아의 치주조직을 재생시킵니다
Emdogain® 치주재생치료란?
Emdogain®은 스위스 Straumann사에서 개발한 치주재생 단백질로, 자연치아의 치주인대, 백악질, 치조골을 자연스럽게 재생시키는 혁신적인 치료법입니다.
오랜 임상연구를 통해 검증된 안전하고 효과적인 치주재생치료입니다.
자연치아 치주조직 완전 재생
치주인대 새로운 부착 형성
백악질과 치조골 동시 재생
임상연구로 검증된 안전성
스위스 Straumann 원료 100% 사용
Straumann® Emdogain® 공식 소개 영상
스위스 Straumann사에서 제작한 Emdogain® 치주재생치료의 원리와 효과
Emdogain® 시술 절차
Straumann에서 제시하는 표준 프로토콜을 정확히 따릅니다
스위스 Straumann사에서 제시한 엄격한 시술 프로토콜에 따라 안전하고 정밀한 치주재생치료를 시행합니다.

절개
잇몸을 조심스럽게 절개하여 치근면에 접근

스케일링 & 큐렛
치석과 감염된 조직을 제거

Root Planning
치근면을 매끄럽게 다듬기
💡 레이저 사용 권장

치근에 도포
Emdogain을 치근 표면에 직접 적용

포켓에 도포
치주포켓 내부에 Emdogain을 충분히 도포

봉합
잇몸을 정확히 봉합하여 치유 환경 조성
실제 치료 효과
20년간의 장기 임상결과로 입증된 효과
Straumann Emdogain®의 실제 임상 결과를 통해 치주조직의 완전한 재생 효과를 확인하실 수 있습니다.
📊 Before & After Comparison
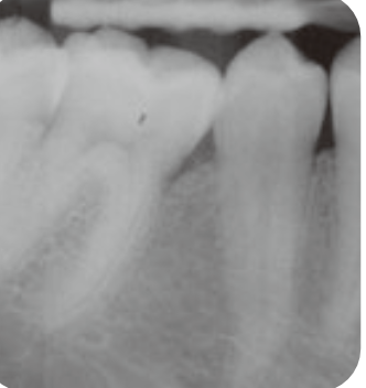
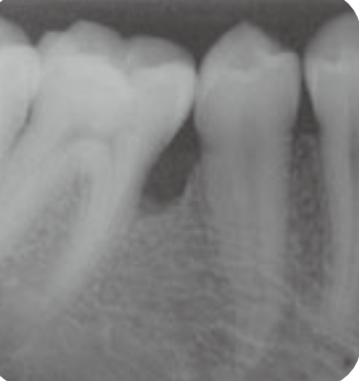
🦷 X-ray 비교
BEFORE
AFTERX-ray 상으로 명확하게 보이는 뼈 재생 효과
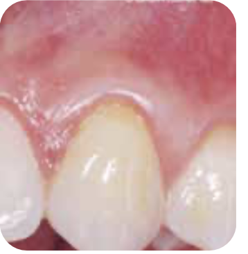
🌿 잇몸 상태 비교
BEFORE
AFTER염증 감소와 잇몸 건강 회복을 확인할 수 있습니다
📈 Long-term Follow-up Cases
1Patient 1: 8년 장기 추적 케이스

치료 시작 전 상태

뼈 재생 진행 확인

재생된 뼈의 장기 유지 확인
✨ 핵심 포인트: Emdogain 치료 후 3년에 걸쳐 점진적으로 재생된 치조골이 8년이 지난 후에도 안정적으로 유지되고 있음을 확인할 수 있습니다. 이는 Emdogain의 장기적인 효과와 안정성을 보여주는 중요한 임상 증거입니다.
2Patient 2: 12개월 추적 케이스

치료 시작 전 상태

뼈 재생 완료 확인
✨ 핵심 포인트: 1년이라는 비교적 짧은 기간 내에도 명확한 치조골 재생 효과를 확인할 수 있습니다. Emdogain은 빠른 치유 속도와 함께 안정적인 결과를 제공하는 것이 특징입니다.
🎯 임상 결과 요약
뼈 재생 성공률
장기 안정성 입증
점진적 재생 완료 기간
Waterlase 레이저와의 완벽한 결합
더블유치과만의 특별한 치주재생치료
Emdogain® 치주재생치료의 효과를 극대화하기 위해서는 완전한 세균 제거가 필수입니다.
더블유치과는 Waterlase 물방울 레이저로 치주낭을 완전히 세정한 후 Emdogain®을 적용하여 치료 효과를 극대화합니다.
물방울 레이저로 완전한 세균 제거
무균 상태에서 Emdogain® 적용
치주재생 효과 극대화
치료 성공률 향상
재발 방지 효과

더블유치과의 Waterlase 물방울 레이저 장비











