신경 치료
자연치아를 살리는 마지막 희망의 신경치료를 진행합니다
신경치료로 자연치아를 살리는 치료는
치수염, 치아파절, 심한 충치로 고생하는 환자들에게
발치 없이 자연치아를 살리는 마지막 희망의 치료입니다
신경치료란?
심한 우식증으로 치수까지 감염이 되거나 치아의 파절 등
외상으로 치수가 노출되면 감염이나 염증이 발생합니다.
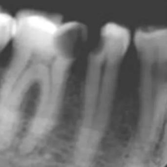
신경치료(근관치료)는 치수까지 깊게 진행되어 치수염, 근단치주염 등 치수 주위 조직에 염증이 생겼을 때 시행하는 치료입니다.
ENDODONTIC TREATMENT W DENTAL CLINIC
신경치료는 2-7일 간격으로 치수 2번의 치료가 필요합니다.
치아의 상태에 따라 내원 횟수는 달라질 수 있으며, 치료가 끝나면 충치 치료가 전에는
치과 강도가 약하기 때문에 반드시 보철 치료를 받으셔야 합니다.
신경치료 과정
단계별 치료 과정을 통해 자연치아를 보존합니다

치수강개방

치수제거

치근관형성

치근관충전

크라운치료
ATTENTION
W DENTAL CLINIC
신경치료 꼭 주의하세요!
신경치료는 2-7일 간격으로 최소 2번의 치료가 필요합니다.
치아의 상태에 따라 내원 횟수는 달라질 수 있으며, 치료가 끝나면 일시적으로 약간의 시림이 있을 수 있습니다.
신경치료를 받은 후에는 동이 발생할 수 있다 있습니다.
신경치료 직후의 일시적 불편함은 자연스러운 치유과정으로, 의사의 처방약복용으로 호전됩니다.
신경치료가 완료된 이후 치아의 파손이 삽질 우려가 변경 수 있습니다.
치아 강도가 약해지기 때문에 반드시 보철치료를 받아야 하며, 크라운이나 인레이로 치아를 보호해야 합니다.
신경치료가 끝난 이후 반드시 보철 치료가 병행 되어야 합니다.
신경치료 치아는 생활력이 떨어져 부서지기 쉬우므로 치료 즉시 치아를 못쓰게 될 파손으로 방지하시기 바립니다.
신경치료 과정 및 주의사항을 정확히 이해하고
치료에 적극 협조해주시기 바랍니다.
신경치료가 필요한 경우
다음과 같은 증상이 나타나면 즉시 신경치료를 받아야 합니다
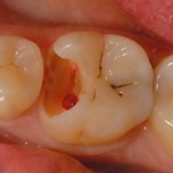
심한충치
충치가 신경까지 깊게 진행된 상태

주요 증상
- 지속적인 통증
- 씹을 때 아픔
- 잇몸 부종
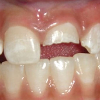
치아파절
외상으로 치아가 깨지거나 부러진 경우

주요 증상
- 신경 노출
- 날카로운 통증
- 시림 증상
치수염
치아 내부 신경에 염증이 생긴 상태

주요 증상
- 극심한 자발적 통증
- 밤에 더 심한 통증
- 뜨거운 것에 아픔
뿌리끝병소
치근 끝 부위에 염증이나 낭종이 생긴 상태

주요 증상
- 잇몸 부종
- 씹을 때 불편함
- 간헐적 통증
자연치아를 살리는 것이 최우선입니다
아무리 좋은 인공치아도 자연치아를 대신할 수는 없습니다.
신경치료는 발치를 피하고 자연치아를 보존하는 마지막 희망의 치료법입니다.
자연치아 보존
자연치아만이 가진 완벽한 기능과 감각을 유지할 수 있습니다
경제적 치료
임플란트나 브릿지 치료보다 경제적이고 효과적입니다
빠른 회복
수술 없이 자연치아를 살려 빠른 일상복귀가 가능합니다
💡 신경치료는 자연치아를 살리는 마지막 기회입니다
치수염, 치아파절, 심한 충치로 고통받고 있다면 발치를 결정하기 전에
신경치료 가능성을 먼저 상담받아 보시기 바랍니다.









