Main Services

더블유다이어리

사랑니 4개, 하루에 다 뽑아도 될까요?

2026년 4월 3일
조회 28
작성자: 대원 김



사랑니 발치를 앞두고 많은 분들이 공통적으로 두 가지를 궁금해하십니다.

한 번에 다 뽑아도 되는지와 얼마나 붓는지 입니다. 

강남W치과 김대원 대표원장이 직접 답해드립니다.






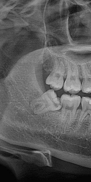
## 사랑니 4개, 하루에 다 뽑을 수 있을까?


가능합니다. 다만 상황에 따라 방법이 달라집니다.

대학병원에서는 전신마취를 진행하는 김에 4개를 한꺼번에 발치하는 경우가 흔합니다. 

사랑니가 똑바로 나 있든 매복이든, 전신마취 하에서는 당일 4개의 발치가 충분히 가능합니다.

반면 일반 치과에서 국소마취로 진행하는 경우라면, 오른쪽 2개, 왼쪽 2개로 이틀에 나눠서 발치하는 것이 일반적입니다. 

이유는 간단합니다. 한쪽을 빼고 1~2주 회복하는 동안 반대쪽으로 식사를 할 수 있어야 하기 때문입니다. 


물론 최종 결정은 환자분의 의사가 가장 중요합니다. 발치는 1개씩도 가능하고, 한 번에 다 뽑겠다고 하시면 그에 맞춰 진행할 수 있습니다.







## 발치 후 붓기, 얼마나 갈까요?


붓기는 사람마다 크게 다릅니다. 아예 붓지 않는 분도 계시고, 눈에 띄게 많이 부으시는 분도 계십니다. 

평균적으로는 발치 후 1~2주 이내에 대부분 빠집니다. 

실밥 제거를 위해 2주 뒤 내원하실 때쯤이면 대부분 붓기가 가라앉아 계십니다.

붓기를 빠르게 줄이려면 냉찜질이 효과적입니다. 

발치 당일과 이후 하루 이틀간 꾸준히 해 주시고, 처방된 약도 빠짐없이 드시는 것이 중요합니다.





## 발치 후 양치질, 언제부터 해도 될까요?

발치 후 양치질을 바로 하셔도 됩니다. 단, 방식에 주의가 필요합니다.

- 발치한 환부는 건드리지 말고, 앞쪽 치아들은 평소처럼 양치질을 하셔야 합니다.

- 발치 직후에는 입이 잘 벌어지지 않아 환부 쪽 양치가 어렵습니다. 이 부위는 가글로 가볍게 헹궈주시면 됩니다.

- 수술 부위가 아무는 동안에는 무리하게 입을 벌리거나 강하게 헹구는 것을 피해주세요.





붓기 걱정에 발치를 미루시는 분들이 많은데, 대부분 2주 안에 깔끔하게 회복되십니다.

실제로 발치 3일 후 촬영 스케줄이 잡혀 있던 한류 스타분도 무사히 촬영하셨습니다. 

물론 모든 분께 같은 결과를 보장드릴 수는 없지만, 제때 발치하고 잘 관리하는 것이 결국 가장 빠른 회복의 지름길입니다.

사랑니 발치 관련 궁금하신 점은 언제든 강남더블유치과로 문의주세요~!



첨부 이미지

사랑니 4개, 하루에 다 뽑아도 될까요? - 이미지 1
사랑니 4개, 하루에 다 뽑아도 될까요? - 이미지 2
사랑니 4개, 하루에 다 뽑아도 될까요? - 이미지 3
사랑니 4개, 하루에 다 뽑아도 될까요? - 이미지 4
사랑니 4개, 하루에 다 뽑아도 될까요? - 이미지 5
W
전화하기카카오톡 채널네이버톡톡병원 유튜브