Main Services

더블유다이어리

치간 칫솔 쓰면 블랙 트라이앵글이 커질까요?

2026년 2월 4일
조회 90
작성자: 대원 김




안녕하세요, 강남더블유치과입니다.

진료실에서 자주 받는 질문 중 하나가 바로 "치간 칫솔을 쓰면 치아 사이 틈이 더 벌어지지 않나요?"입니다. 

오늘은 많은 분들이 궁금해하시는 블랙 트라이앵글의 원인과 해결 방법에 대해 말씀드리려고 합니다.



## 치간 칫솔, 블랙 트라이앵글의 원인이 아닙니다

결론부터 말씀드리면, 치간 칫솔을 열심히 사용한다고 해서 블랙 트라이앵글이 생기거나 커지지는 않습니다. 
치실도 마찬가지입니다.

너무 과하게 사용해서 잇몸에 염증이나 자극이 생길 수는 있지만, 그것 때문에 치조골이 내려가는 일은 없습니다.

그렇다면 블랙 트라이앵글은 왜 생기는 걸까요?





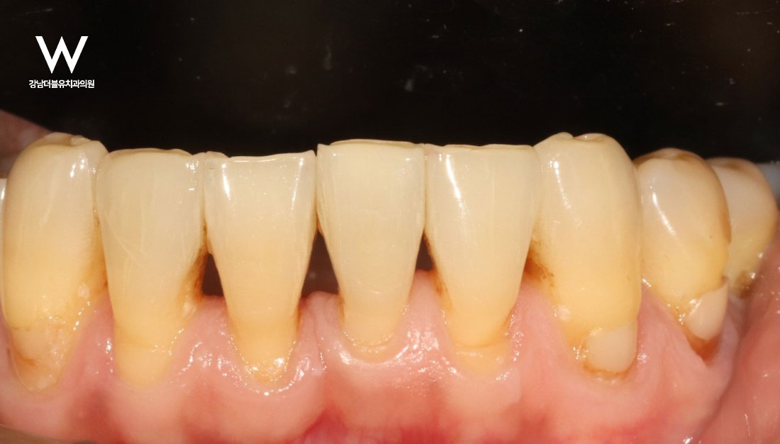
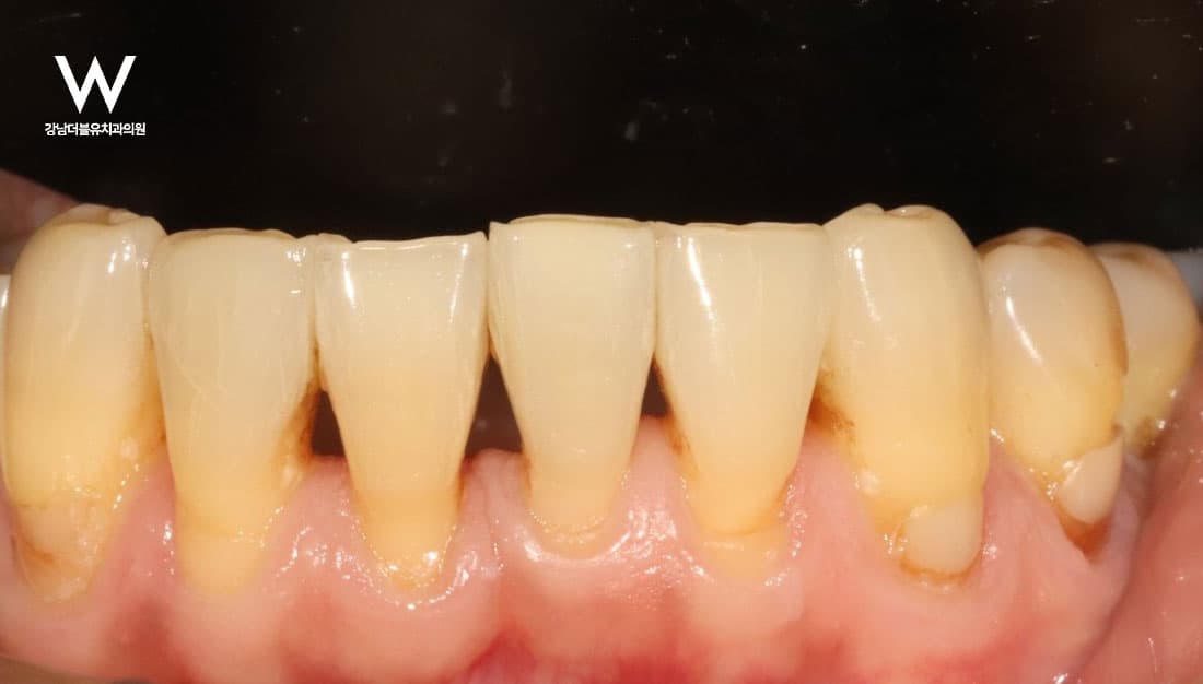
## 블랙 트라이앵글의 진짜 원인은 '뼈'입니다

치아와 치아 사이에 볼록하게 차오른 잇몸의 높이는 그 아래에 있는 **치조골(잇몸뼈)이 결정합니다.

두 개의 치아가 나란히 있으면 서로 맞닿는 점(컨택트 포인트)이 있고, 치아는 아래로 갈수록 얇아지기 때문에 자연스럽게 삼각형 모양의 공간이 생깁니다. 

정상적인 경우 잇몸이 이 삼각형 공간을 예쁘게 채워주는데요, 잇몸이 채울 수 있는 높이는 치조골 위로 약 1.5~2mm 정도로 정해져 있습니다.

문제는 치조골이 내려갔을 때 발생합니다. 

뼈가 내려가면 잇몸이 채울 수 있는 양은 그대로인데 채워야 할 공간은 커지니까, 위쪽에 검은 삼각형 틈이 보이게 되는 거죠.





## 치조골이 내려가는 주요 원인

**첫째, 교정 후 발생하는 경우가 많습니다.

치아가 많이 이동하면서 치조골에 변화가 생기기 때문인데요, 그래서 교정 치료 후 블랙 트라이앵글이 신경 쓰여서 추가 치료를 받으시는 분들이 계십니다.

**둘째, 치석 축적으로 인한 잇몸 질환입니다.

잇몸 아래 깊숙이 쌓인 치석에서 나오는 물질들이 치조골을 점점 내려가게 만듭니다. 

어르신들 치아를 보면 블랙 트라이앵글이 큰 경우가 많은데, 오랜 시간에 걸쳐 치조골 레벨이 내려갔기 때문입니다.




## 블랙 트라이앵글, 해결할 수 있을까요?

안타깝게도 한 번 내려간 치조골을 다시 올리는 방법은 현재로서는 없습니다. 
하지만 심미적으로 개선할 수 있는 방법들은 있습니다.

**바이오클리어나 레진 치료로 삼각형 틈을 메우는 방법이 있고, 상황에 따라 보철 치료를 진행하기도 합니다.

다만 여기서 중요한 점이 있습니다. 치료를 제대로 깔끔하게 해야 합니다. 

대충 때워서 표면이 거칠어지면 그 부위에 치석이나 음식물이 더 잘 끼게 되고, 결국 잇몸이 더 내려가는 악순환이 생길 수 있어요. 

제대로 된 치료를 받거나, 차라리 그냥 두는 편이 낫습니다. 





## 핵심 정리

블랙 트라이앵글은 치간 칫솔이나 치실 때문이 아니라 치조골이 내려가서 생기는 것입니다. 

평소 잇몸 관리를 잘하시면 예방할 수 있고, 이미 생긴 경우에는 바이오클리어, 보철 등의 방법으로 심미적 개선이 가능합니다.

치간 칫솔 사용을 망설이셨던 분들은 걱정 마시고 꾸준히 사용하셔도 됩니다. 

오히려 치아 사이사이를 깨끗하게 관리해서 잇몸 건강을 지키는 것이 블랙 트라이앵글 예방의 핵심입니다.

첨부 이미지

치간 칫솔 쓰면 블랙 트라이앵글이 커질까요? - 이미지 1
치간 칫솔 쓰면 블랙 트라이앵글이 커질까요? - 이미지 2
치간 칫솔 쓰면 블랙 트라이앵글이 커질까요? - 이미지 3
치간 칫솔 쓰면 블랙 트라이앵글이 커질까요? - 이미지 4
치간 칫솔 쓰면 블랙 트라이앵글이 커질까요? - 이미지 5
W
전화하기카카오톡 채널네이버톡톡병원 유튜브