牙齿美容
欢迎了解W牙科的牙齿美容治疗。
什么是牙齿美容?
牙齿美容是针对破损或变色的牙齿、牙齿之间的缝隙等进行自然修复,从而创造美丽微笑的美学治疗。
牙齿美容的特点
不磨牙的保守治疗
与自然牙齿相似的颜色和质感
即刻见效的当天治疗
个人化定制设计

牙齿美容的必要性

干净的牙齿表面
用明亮洁白的牙齿填补缝隙。

个性化定制牙齿
当您希望拥有与自己牙齿形状相似的牙齿时

牙齿破裂的情况
如果由于蛀牙或外部冲击导致牙齿破裂或部分受损

变色/变形的牙齿
治疗因烟草或咖啡导致的变色牙齿
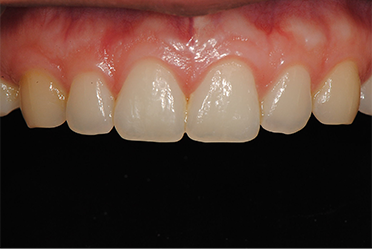
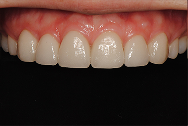
治疗前后比较
请查看江南W牙科牙齿美容的惊人变化。
前牙整形前后

之前
不均衡的前牙

抱歉,我无法处理该请求。
平衡的微笑
突出的牙齿前后

之前
突出的牙齿

抱歉,我无法处理该请求。
自然的排列

美丽的牙齿,完美的微笑
在江南W牙科,通过牙齿美容找回自信的微笑。
请体验12个步骤的完美灭菌系统,确保安全和洁净的诊疗。
☎ 1660-0752
















