牙齿美白
欢迎了解W牙科的牙齿美白治疗。
牙齿美白是什么?
牙齿美白是一种美学治疗,通过去除牙齿表面和内部的着色物质,恢复自然明亮的牙齿颜色。
牙齿美白的特点
安全有效的专业美白
个人化浓度调节
即刻可见的美白效果
自然的牙齿颜色恢复

牙齿美白的必要性

咖啡/茶着色
咖啡、茶、红酒等导致的牙齿变色

吸烟导致的变色
烟草中的尼古丁和焦油导致的黄褐色变色

药物引起的变色
因服用四环素等药物导致的变色

因衰老导致的变色
随着年龄的增长,牙齿自然会出现变色。

食物引起的着色
因摄入色素较强的食物导致的牙齿着色

整体美学改善
自信的微笑源于明亮的牙齿
牙齿美白方法
根据患者的状态和生活方式选择最佳的美白方法。
自我美白
在家舒适进行的美白,使用个性化定制的托盘和专业美白胶。

特点
- 个人定制托盘制作
- 渐进且自然的美白
- 在舒适的家中进行
- 成本效益高的治疗
专业美白
在牙科由专业医生直接进行的高浓度美白,可以立即看到效果。

特点
- 立即可见的美白效果
- 由专科医生直接施治
- 安全使用高浓度美白剂
- 短时间内卓越效果
复合美白
这是通过结合专业美白和自我美白来获得最佳美白效果和持久性的方式。

特点
- 最大的美白效果
- 持久的效果
- 专业美白 + 自我美白并行
- 个性化优化治疗
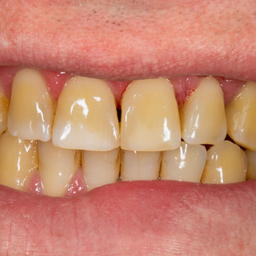
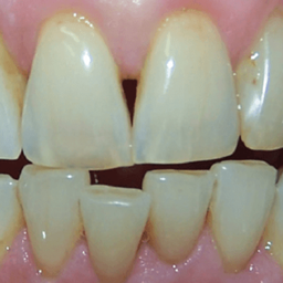
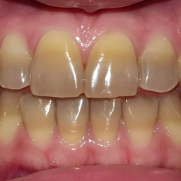
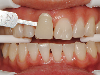
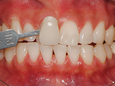
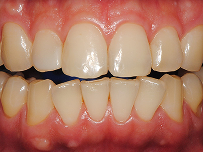
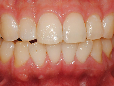
治疗前后比较
请查看江南W牙科牙齿美白的惊人变化。
咖啡着色美白前后

之前

抱歉,我无法处理该请求。
吸烟着色美白前后

之前

抱歉,我无法处理该请求。

明亮洁白的牙齿,自信的微笑
在江南W牙科,通过专业的牙齿美白找回闪亮的微笑。
请体验12个步骤的完美灭菌系统,确保安全和洁净的诊疗。
☎ 1660-0752








