BioClear治疗
双U牙科的BioClear Matrix系统自然解决黑三角和牙间隙问题。
黑三角和牙间隙问题
解决许多人面临的美观困扰
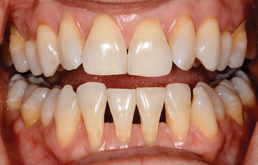
黑三角
牙齿间三角形状的黑色空间,影响美观的问题
牙间隙
先天性或后天性形成的牙齿间空间
自信心下降
因微笑时显露的间隙而产生的压力和自信心不足
食物嵌塞
因间隙导致的食物嵌塞和口腔卫生管理困难





BioClear Matrix系统
通过革新的BioClear技术提供自然而完美的解决方案
什么是BioClear Matrix系统?
BioClear Matrix系统是使用特殊制作的透明矩阵带和高品质复合树脂,自然填补牙齿间空间的革新治疗方法。与传统治疗法不同,无需磨除牙齿即可获得完美效果。
BioClear治疗对象
以下情况BioClear治疗效果显著

黑三角
因牙龈退缩形成的牙齿间三角形空间

正中间隙
前牙间的裂隙

牙间空间
磨牙部位的牙齿间空间

小牙
先天性小牙造成的空间
BioClear治疗过程
通过精密而系统的分步治疗过程保证完美效果
精密诊断
通过口腔检查和X光摄影分析牙齿状态
精确测量牙齿间空间的大小和形状,制定最佳治疗计划。

颜色选择
通过先进光学匹配系统实现完美颜色再现
通过个人牙齿颜色分析,使用TOKUYAMA Omnichroma或3M™ Filtek™ Easy Match等最新光学效果树脂。这些高级树脂具有自动适应周围牙齿颜色的特殊技术,实现完美色彩协调。

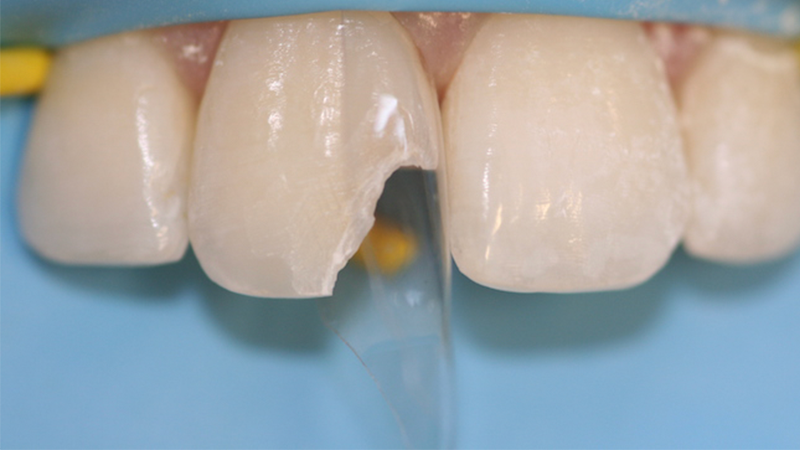
Matrix带应用
安装BioClear专用透明矩阵带
在牙齿间空间应用精确形态的矩阵带,创造完美轮廓。

树脂充填
用高品质复合树脂填充空间
层层叠叠树脂,再现自然牙齿形状和质感。

形态调整
精密调整为自然牙齿形态
精细调整形态和咬合,与患者牙齿完美协调。

抛光完成
以自然牙齿般的光泽完成
将表面光滑抛光,完成与自然牙齿无法区分的完美收尾。

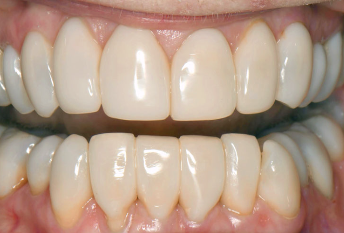
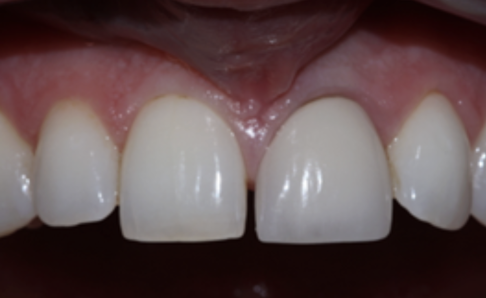
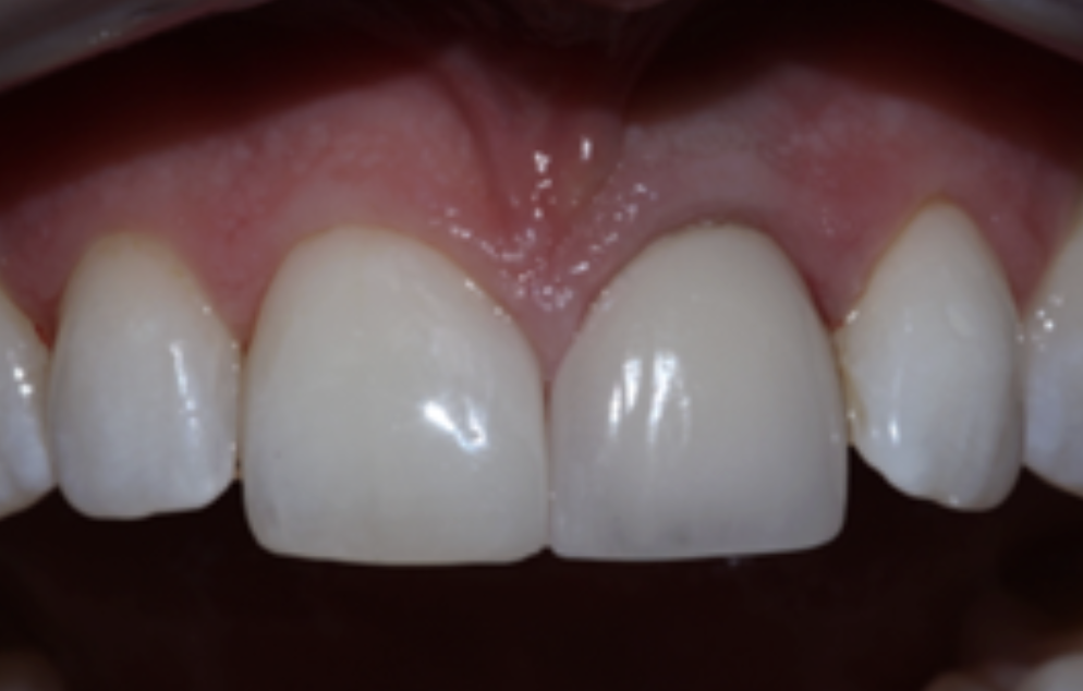
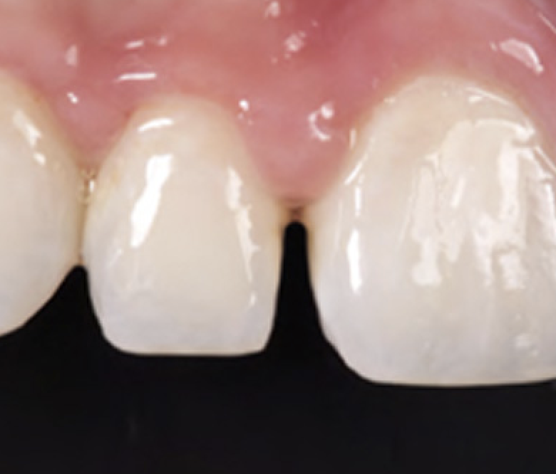
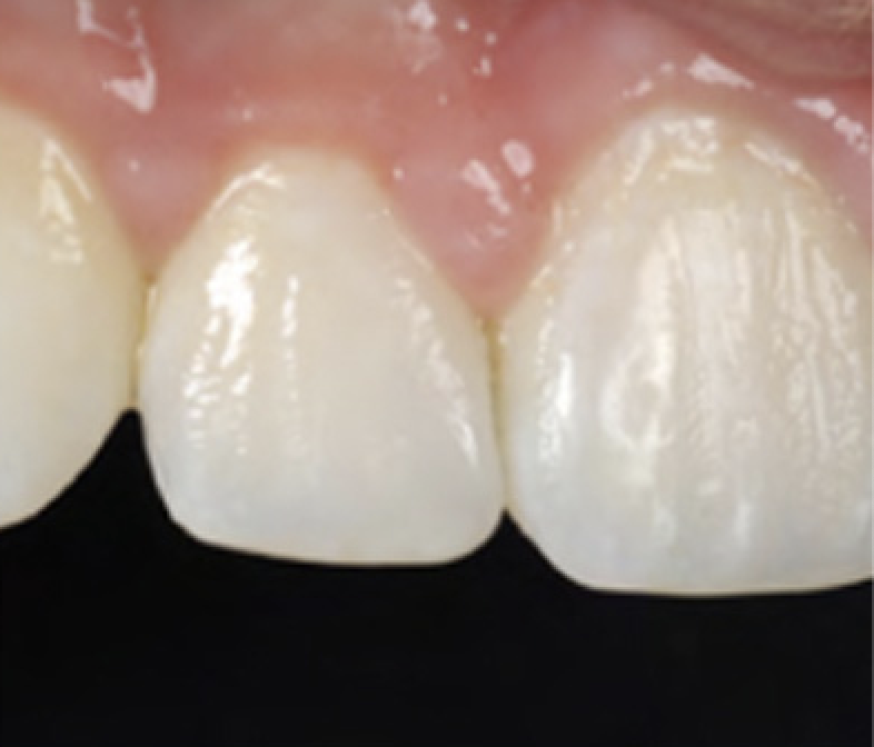
BioClear治疗前后案例
通过实际治疗案例确认BioClear的惊人效果


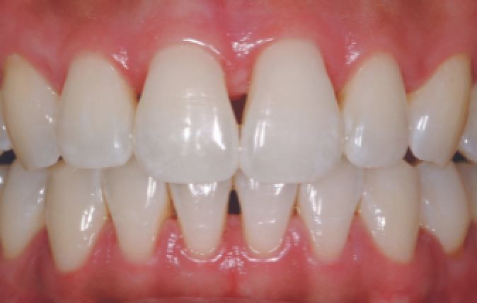
黑三角改善
自然填补前牙部位三角形空间的案例


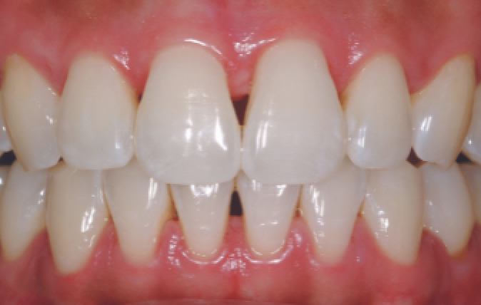
正中间隙闭合
完全闭合前牙间隙的案例


后牙空间解决
有效解决磨牙部位空间的案例


侧切牙解决
自然扩大先天性小牙(侧切牙)的案例
BioClear治疗FAQ
解决关于BioClear治疗的疑问
Q.BioClear治疗疼吗?
A.这是不磨牙的无痛治疗,无需麻醉即可舒适接受。治疗中或治疗后几乎没有疼痛。
Q.治疗后如何护理?
A.一般的刷牙和使用牙线即可。注意坚硬食物,定期检查的话可以长期维持。
Q.BioClear治疗效果能持续多久?
A.在适当护理下可持续10年以上。通过定期检查和护理可以维持更久。

BioClear治疗咨询
详细咨询自然而完美的BioClear治疗
请体验12个步骤的完美灭菌系统,确保安全和洁净的诊疗。
☎ 1660-0752








