상악동거상술로 안전하게 임플란트를 식립합니다
상악동 공간을 확보하여 상악 어금니 부위에 안정적인 임플란트 식립이 가능합니다
상악동거상술?
'꼭 해야 하는 건가요?'
위쪽 어금니 위로 광대뼈에서 위턱 뼈까지 이어져 있는 공간을 '상악동'이라고 하는데 상악동이 내려오면 임플란트가 단단하게 고정되지 않습니다.
특히 어금니를 발치하면 잇몸뼈가 흡수되어 잇몸뼈의 양이 더욱 줄어들게 됩니다.
임플란트가 단단하게 고정되기 위해서는 상악동을 위로 들어올린 뒤 빈 공간에 뼈를 이식하는 '상악동 거상술'이 필요합니다.
상악동은 매우 얇은 막으로 되어있어 찢어지기 쉽고 상악동염, 축농증 등 다른 질환을 유발할 가능성이 있어 섬세한 기술이 요구됩니다.
측방 접근법
개방적 상악동거상술
치조정 접근법
폐쇄적 상악동거상술
상악동거상술 방법
환자의 상태에 따라 적합한 수술 방법을 선택합니다
측면 접근법 (Lateral Approach)
개방적 상악동거상술
측면 벽을 통해 접근하여 상악동막을 거상하는 방법

적응증
- 잔존 골높이 4mm 미만
- 넓은 범위의 뼈이식이 필요한 경우
- 다수의 임플란트 식립
- 상악동저가 심하게 함몰된 경우
장점
- 시야 확보가 용이함
- 정확한 막 거상 가능
- 충분한 양의 뼈이식재 적용
- 성공률이 높음
Crestal Approach (치조정 접근법)
폐쇄적 상악동거상술
오스테오톰, 덴샤버, 수압을 통해 막을 거상하는 방법입니다

적응증
- 잔존 골높이 4-6mm
- 국소적인 뼈이식이 필요한 경우
- 1-2개의 임플란트 식립
- 상악동저가 평평한 경우
장점
- 최소침습적 접근
- 회복 기간이 짧음
- 동시 임플란트 식립
- 환자 불편감 최소화
상악동거상술 치료 과정
안전하고 정확한 수술을 위한 체계적인 치료 과정

3D CT 진단
상악동 해부학적 구조 분석 및 수술 계획 수립

마취 및 절개
국소마취 후 잇몸 절개하여 상악골 노출

상악동막 거상
조심스럽게 상악동막을 손상 없이 들어올림

뼈이식재 충전
거상된 공간에 뼈이식재를 충분히 채워 넣음

봉합 및 치유
차폐막 설치 후 봉합, 6개월 치유 기간
ATTENTION
W DENTAL CLINIC SURGERY
수술 전/후 꼭 주의사항을 체크해주세요.
상악동 거상술 주의사항
수술 후 약간의 통증과 출혈이 있을 수 있습니다.
수술 당일에는 차가운 음식을 드시는 것이 좋습니다.
차압발으신 약은 시간에 맞춰 반드시 복용하셔야 합니다.
수술 후 2일 까지 얼음 찜질을 해주세요.
침을 벉거나 빨대 사용을 삼가셔야 합니다.
수술 후 2주 동안은 수영 등 심한 운동이나 음주, 흡연을 삼가셔야 합니다.
최소 3주 간은 코를 세게 풀지 않도록 해야 합니다.
주무실 때 베개는 평소보다 약간 높은 것을 사용해야 합니다.
수술 후 이를 흔부터 가벼운 사회는 괜찮지만 많은 음식은 2주 동안 삼가셔야 합니다.
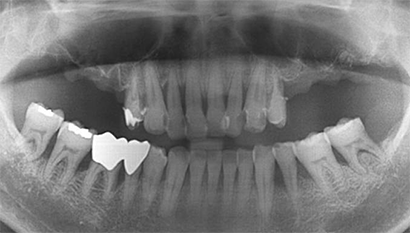
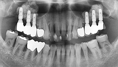
W Dental Clinic Before & After
치료 전후사진

Before

After
상악동 거상술









