
안녕하세요, 강남더블유치과 김대원 원장입니다.
오늘은 앞니 사이가 벌어진 고민을 바이오클리어(Bioclear)로 해결한 케이스를 소개해드리려고 합니다.

## 환자분의 고민
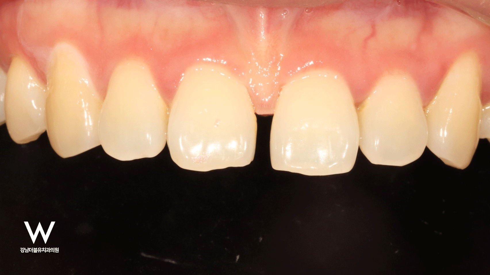
외국인 여성 환자분께서 앞니 사이 공간(다이에스테마, Diastema) 때문에 내원하셨습니다.
웃을 때마다 신경 쓰이고, 자신감이 떨어진다고 하셨어요. 특히 사진 찍을 때 입을 다물게 되는 게 불편하다고 말씀하셨습니다.

## 바이오클리어란?
바이오클리어는 특수 제작된 투명 매트릭스를 사용해 치아 사이 공간을 자연스럽게 메워주는 최신 치료법입니다.
**기존 치료법과의 차이점
- 치아 삭제가 거의 없어 건강한 치아 보존 가능
- 라미네이트보다 보존적인 치료
- 자연치아와 구분이 안 될 정도로 자연스러운 결과
- 당일 치료 완성 가능

## 치료 과정
1. 상담 및 계획 수립**: 환자분의 치아 상태를 정밀 검진하고 치료 계획을 세웠습니다.
2. 색상 선택: 첨단 광학 매칭 시스템으로 완벽한 색상 재현을 위해 개인별 치아 색상을 분석했습니다.
토쿠야마 옴니크로마(TOKUYAMA Omnichroma)나 3M™ Filtek™ Easy Match와 같은 최신 광학효과 레진을 사용하는데, 이러한 고급 레진은 주변 치아색에 자동으로 적응하는 특수 기술로 완벽한 색상 조화를 구현합니다.
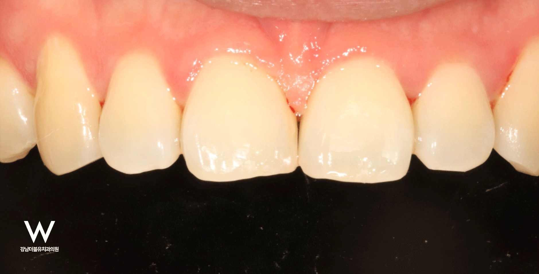
3. 바이오클리어 시술**: 특수 매트릭스를 이용해 치아 사이 공간을 선택한 복합레진으로 정밀하게 채워나갔습니다.
4. 형태 조정 및 연마**: 주변 자연치아와 조화롭게 형태를 다듬고 매끄럽게 연마하여 자연스러운 표면을 완성했습니다.
*소요 시간 : 한시간

## 치료 결과
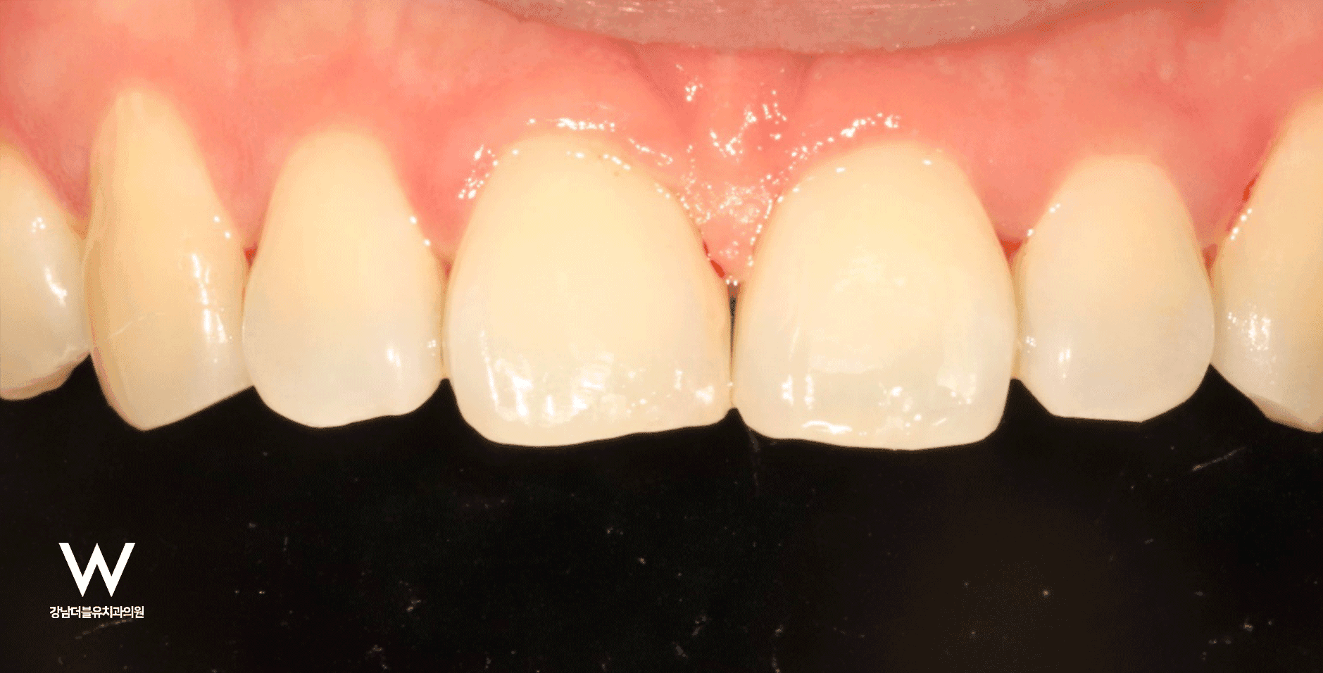
벌어져 있던 앞니 사이 공간이 자연스럽게 메워지면서 환자분의 미소가 훨씬 환해졌습니다.
특히 최신 광학효과 레진 덕분에 치료 부위와 자연치아의 경계가 전혀 눈에 띄지 않을 정도로 완벽한 색상 매칭이 이루어졌습니다.
환자분께서도 "치아를 거의 깎지 않고 이렇게 예뻐질 수 있다니 놀랍다"며 만족해하셨고, 무엇보다 하루 만에 치료가 완성되어 바쁜 일정에도 부담이 없었다고 하셨습니다.

## 바이오클리어가 적합한 경우
- 앞니 사이 공간이 있는 경우 (다이에스테마)
- 치아를 최대한 보존하고 싶은 경우
- 빠른 심미 개선을 원하는 경우
- 작은 치아를 자연스럽게 크게 보이게 하고 싶은 경우
##마무리하며
저희 강남더블유치과는 신논현역 인근에 위치해 있으며, 바이오클리어를 포함한 다양한 심미 치료를 진행하고 있습니다.
특히 최신 광학효과 레진과 당일 완성이 가능한 치료 시스템을 갖추고 있어, 바쁜 현대인들께 효율적이고 자연스러운 치료를 제공해드립니다.
앞니 사이 공간 때문에 고민이시라면, 치아를 거의 깎지 않고도 자연스럽고 아름답게 개선할 수 있는 바이오클리어를 고려해보시기 바랍니다.
















.jpg&w=3840&q=75)
