주요 서비스

더블유다이어리

사랑니 발치, 얼마나 아플까요?

2026년 3월 9일
조회 2
작성자: 대원 김



사랑니 발치를 앞두고 겁이 나서 미루고 계신 분들 많으시죠? "친구는 하나도 안 아팠다는데 나는 왜 이렇게 아팠지?"라는 이야기, 한 번쯤 들어보셨을 겁니다. 

오늘은 사랑니 발치 시 통증과 마취 방법에 대해 설명해 드리겠습니다.






## 사랑니 발치, 정말 아픈가요?


결론부터 말씀드리면, 케이스마다 천차만별입니다.

잇몸 위로 잘 올라온 사랑니는 마취만 제대로 되어 있으면 10초 만에 끝나기도 합니다. 

"벌써 뺐어요?"라고 물어보실 만큼, 뺐는지도 모르는 경우가 있을 정도입니다.

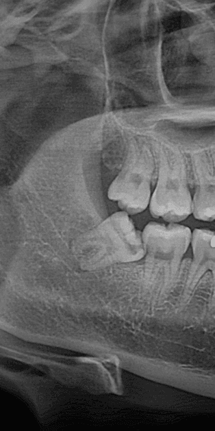
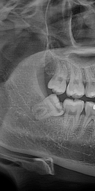
반면 뼈 안에 완전히 파묻혀 있는 사랑니는 이야기가 다릅니다. 

잇몸을 절개하고, 이를 조각조각 나눠서 빼내야 하기 때문에 진동도 크고 시술 시간도 길어집니다. 

이런 경우 통증이나 붓기가 심한 건 당연한 결과입니다.

"친구는 안 아팠는데 나만 유독 아픈 것 같다"고 느끼신다면, 그건 시술을 잘못해서가 아니라 이가 나온 방향과 위치가 그만큼 복잡했기 때문입니다. 

뼈를 다듬어야 하는 발치일수록 이후 붓기가 심하게 나타나는 것도 같은 이유입니다. 

시간이 지나면 자연스럽게 가라앉으니 걱정하지 않으셔도 됩니다.





## 치과 마취만으로 충분할까요?


일반적인 경우라면 국소마취(치과 마취)만으로도 충분합니다. 

실제로 대부분의 사랑니 발치는 치과 마취 하에 진행됩니다.

다만 공포감이 크거나 시술이 복잡한 경우에는 수면 마취를 선택하실 수 있습니다. 

환자분 입장에서는 훨씬 편안하게 시술을 받을 수 있다는 장점이 있습니다.

한 가지 알아두실 점은, 수면 마취 중에는 환자분이 의식이 있어서 몸을 움직일 수 있기 때문에 오히려 의사 입장에서는 시술이 더 까다로울 수 있습니다. 

잡아주는 보조 인력도 필요하고, 신경 써야 할 부분이 많아집니다.







## 전신마취가 필요한 경우도 있나요?


아주 드물지만, 신경과 매우 가깝거나 뼈를 대량으로 다듬어야 하는 고난도 케이스에서는 전신마취가 필요할 수 있습니다. 

이런 경우는 대학병원에서 근육이완제와 전신마취를 병행해 진행하기도 합니다.

단순하고 쉬운 발치에 전신마취를 사용하는 건 아닙니다. 

신경 손상 위험이 높거나, 뼈 삭제량이 상당한 수준일 때만 해당되는 이야기입니다.





## 누워 있는 사랑니는 왜 더 어렵게 빠지나요?


정상적으로 올라온 이는 위쪽으로 그냥 뽑아내면 됩니다. 

그런데 사랑니가 옆으로 누워 있으면 나올 방향 자체가 막혀 있습니다. 그대로는 빠질 수가 없는 구조입니다.

그래서 이를 잘라서 일부를 꺼내고, 또 잘라서 꺼내는 방식을 반복해야 합니다. 

"한 번에 넓게 다 파내면 편하지 않냐"고 생각하실 수 있지만, 그렇게 하면 주변 뼈가 많이 손상되어 붓기가 훨씬 심해집니다. 

가능한 뼈 손상을 최소화하면서 조금씩 분리해 빼는 방식이 장기적으로 더 유리하기 때문에 시간이 걸리더라도 단계적으로 진행하는 것입니다.





## 마치며

사랑니 발치의 통증과 붓기는 이의 상태와 위치에 따라 결정됩니다. 

무조건 겁낼 필요도 없고, 무조건 쉽게 볼 필요도 없습니다. 

발치 전 X-ray와 상담을 통해 본인의 사랑니가 어떤 상태인지 먼저 확인하고, 그에 맞는 마취 방법을 선택하시는 것이 가장 현명한 방법입니다.


첨부 이미지

사랑니 발치, 얼마나 아플까요?  - 이미지 1
사랑니 발치, 얼마나 아플까요?  - 이미지 2
사랑니 발치, 얼마나 아플까요?  - 이미지 3
사랑니 발치, 얼마나 아플까요?  - 이미지 4
사랑니 발치, 얼마나 아플까요?  - 이미지 5
W
전화하기카카오톡 채널네이버톡톡병원 유튜브