원데이 크라운으로 즉시 완성
CEREC 시스템으로 하루 안에 자연스러운 크라운이 완성됩니다
CEREC 원데이 크라운이란?
독일 DENTSPLY SIRONA사의 CEREC 시스템을 활용하여 하루 만에 완성되는 프리미엄 크라운 치료입니다. 디지털 스캔부터 제작, 소결까지 모든 과정이 원내에서 이루어져 당일 치료가 완료됩니다.
당일 크라운 제작 및 장착 완료
임시 크라운 착용 기간 없음
자연치와 동일한 강도와 색상
10년 이상 사용 가능한 내구성

원데이 크라운이 필요한 경우
CEREC 크라운으로 해결할 수 있는 다양한 치아 문제

대량 충치
치아의 대부분이 손상되어 인레이로 치료가 어려운 경우

치아 파절
외상이나 마모로 인해 치아가 깨지거나 금이 간 경우

신경치료 후
근관치료 후 치아 보호를 위해 크라운이 필요한 경우

심한 변색
미백이나 라미네이트로 해결되지 않는 심한 변색

기존 크라운 교체
오래된 크라운이나 부적합한 크라운의 재제작

형태 이상
선천적 기형이나 마모로 인한 치아 형태 이상
CEREC 원데이 크라운 워크플로우
디지털 기술로 구현되는 혁신적인 1일 완성 시스템
STEP 01 • 30분
구강 검진 및 치아 준비
정밀 진단 후 크라운 제작을 위한 치아 형성
3D CT 촬영으로 정밀 진단
국소마취 후 치아 삭제
정확한 마진 라인 형성
임시 보호 조치

STEP 02 • 10분
PrimeScan 디지털 스캔
초정밀 구강 스캐너로 3D 디지털 인상 채득
광학 스캐너로 즉시 스캔
인상재 사용 없이 편안함
실시간 3D 모델 확인
색상 정보까지 정확 기록

STEP 03 • 15분
CAD 소프트웨어 디자인
AI 기반 CAD 소프트웨어로 맞춤형 크라운 설계
인공지능 자동 설계
교합 관계 정밀 분석
개인별 맞춤 형태 생성
실시간 수정 및 최적화

STEP 04 • 20분
PrimeMill 자동 제작
첨단 밀링머신으로 세라믹 크라운 정밀 가공
고품질 세라믹 블록 사용
5축 정밀 밀링 가공
완벽한 핏과 형태 구현
표면 마무리까지 자동화

STEP 05 • 25분
SpeedFire 소결 및 완성
고온 소결로 최종 강도 구현 및 즉시 장착
1500°C 고온 급속 소결
최종 강도 및 색상 구현
정밀 피팅 및 교합 조정
영구 접착 및 마무리

총 소요시간: 약 1시간 30분
CEREC vs 기존 크라운 치료
혁신적인 CEREC 시스템과 기존 치료법의 명확한 차이
CEREC 원데이 크라운
⚡치료 기간
1일 완성📅방문 횟수
1회 방문❌임시 크라운
불필요📱인상 채득
디지털 스캔🤖제작 방식
CAD/CAM🎯정밀도
마이크론 단위💎내구성
10년+🎨색상 매칭
완벽 일치기존 크라운 치료
🐌치료 기간
2-3주🔄방문 횟수
2-3회😰임시 크라운
필수 착용🤢인상 채득
실리콘 인상재👷제작 방식
수작업 기공👁️정밀도
육안 의존⏳내구성
5-7년🤔색상 매칭
근사치CEREC 크라운 치료 결과
하루 만에 완성된 자연스러운 크라운 치료 사례
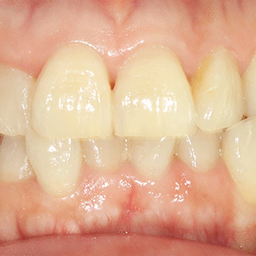
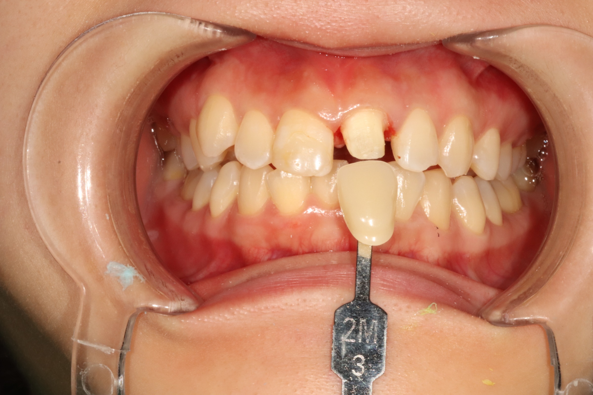
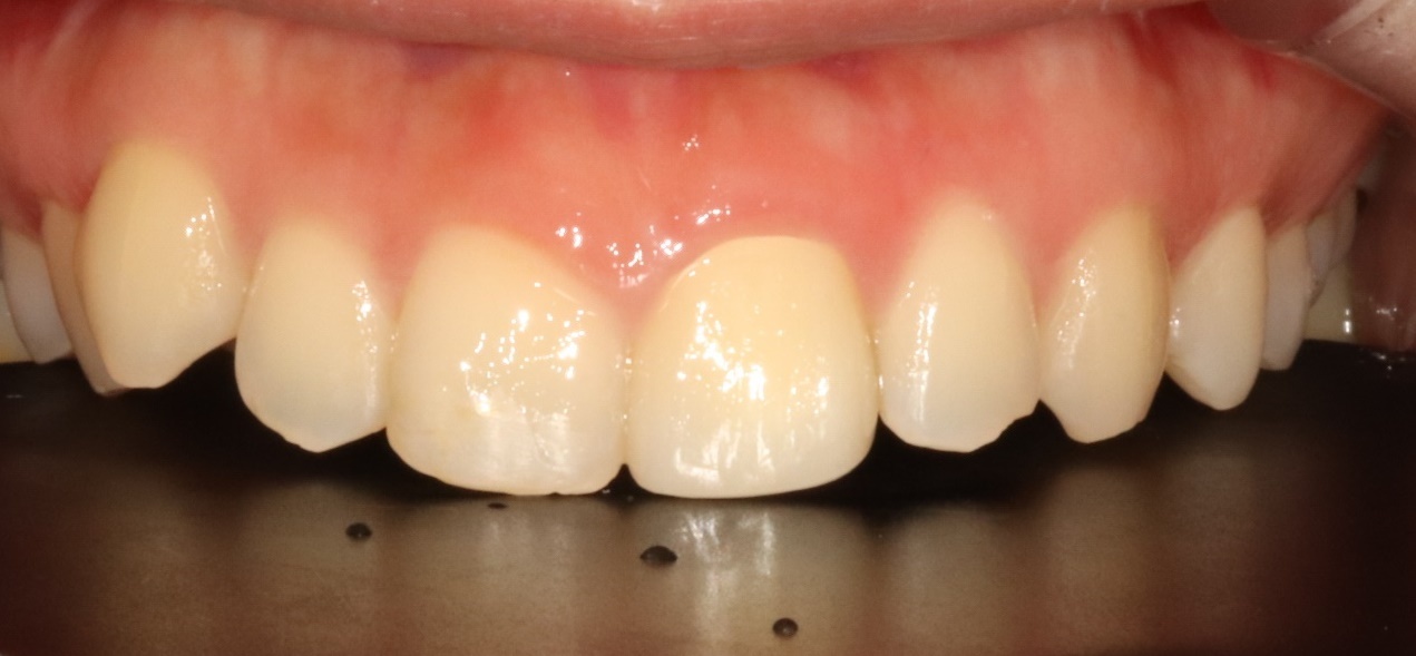
앞니 크라운
Before

After

외상으로 파절된 앞니를 자연스럽게 복원
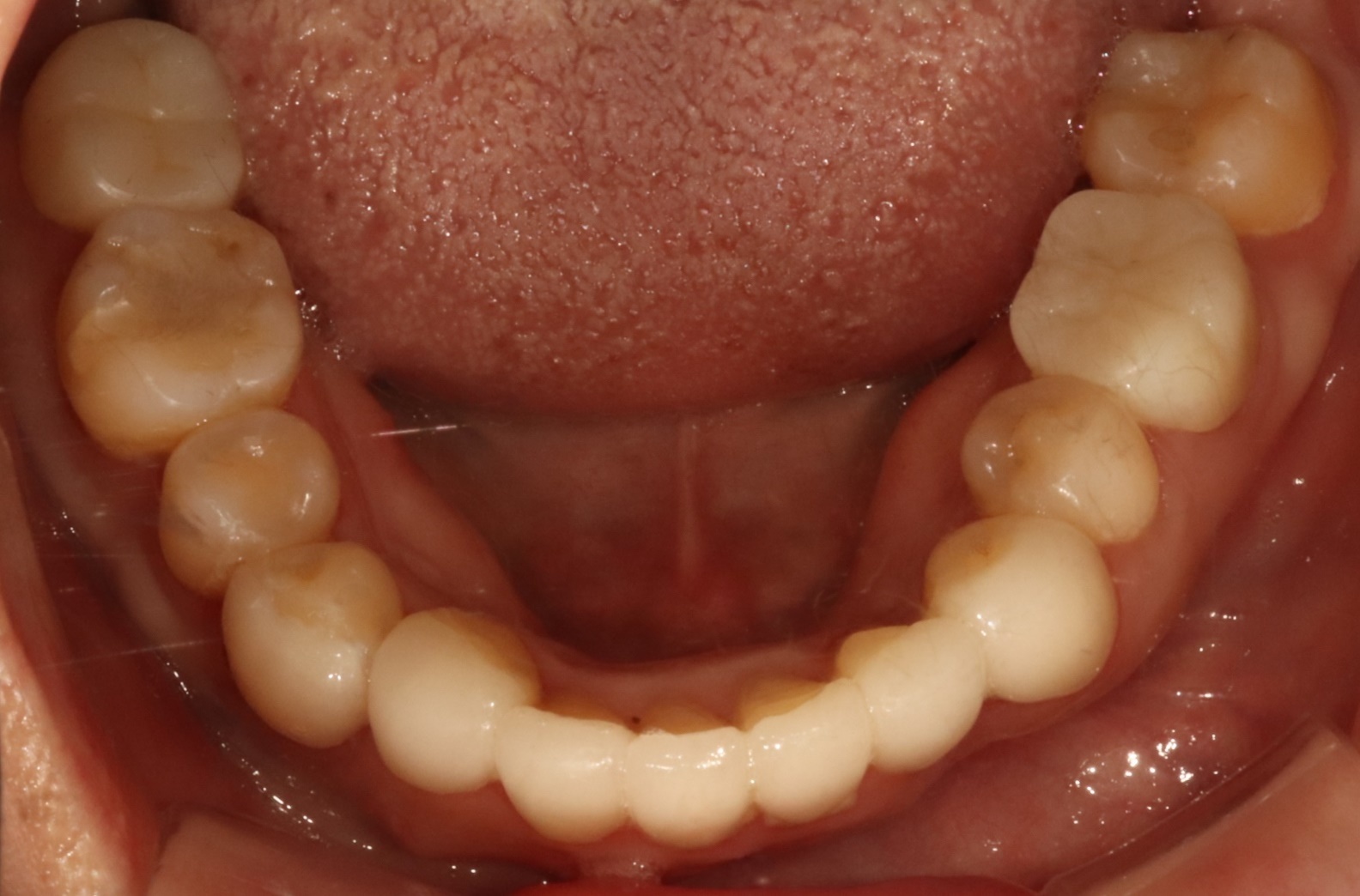
어금니 크라운
Before

After

대량 충치로 손상된 어금니 완전 복원
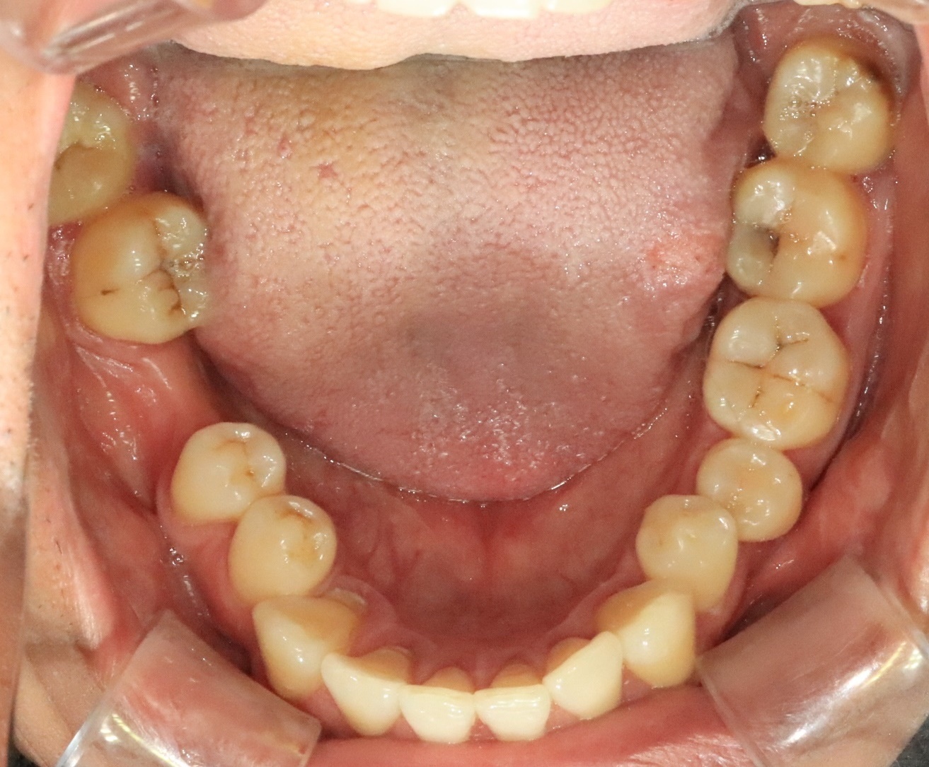
신경치료 후 크라운
Before

After

근관치료 후 치아 보호를 위한 크라운









