ការបញ្ចប់ដោយឥតឈប់ឈរ ជាមួយនឹងការដំឡើងឥន្ទនៈក្នុងមួយថ្ងៃ
ការបញ្ចប់ការដំឡើងអ៊ីមភ្លង់យ៉ាងសុវត្ថិភាព និងត្រឹមត្រូវក្នុងមួយថ្ងៃដោយប្រើប្រព័ន្ធបញ្ជូន 3D។
CEREC គឺជាការបញ្ចូលឧបករណ៍ធ្មេញក្នុងមួយថ្ងៃ។
ការព្យាបាលអ៊ីមភ្លង់ដែលមានភាពត្រឹមត្រូវដែលបញ្ចប់ក្នុងមួយថ្ងៃដោយប្រើប្រព័ន្ធ CEREC របស់ក្រុមហ៊ុន DENTSPLY SIRONA ពីប្រទេសអាល្លឺម៉ង់។ យើងបញ្ចប់ដំណើរការទាំងអស់ចាប់ពីការស្កេនឌីជីថលរហូតដល់ការដាក់អ៊ីមភ្លង់ក្នុងមួយថ្ងៃ។
ករណីដែលត្រូវការប្រព័ន្ធអុីមភ្លាន់មួយថ្ងៃ
បន្ថែមបច្ចេកវិទ្យាឌីជីថលទៅរកការស្ថាបនាម្សៀត!

ការបាត់បង់ធ្មេញតែមួយ
ករណីដែលធ្មេញមួយខ្វះ និងត្រូវការការដាក់ឱ្យមានអុីមភ្លង់

ការដាក់ឱ្យមានឧបករណ៍ដាក់ឱ្យមានឧបករណ៍បន្ទាន់
ករណីដែលមានការដកធ្មេញ និងដាក់ឱ្យមានឧបករណ៍ដាក់ធ្មេញនៅក្នុងពេលតែមួយ

ការប្តូរពីរបៀបធ្វើស្រាប់។
ករណីដែលត្រូវប្តូរប្រ៊ីជឬធ្នូផ្នែកចាស់ជាមួយអ៊ីមភ្លង់

ការកែលម្អសម្រស់
ករណីដែលចង់បង្កើនសម្រស់និងមុខងារនៅតំបន់ធ្មេញមុខ។

ការពារទីតាំងជិតខាង
នៅពេលដែលអ្នកចង់ស្ដារទីធ្លាដោយមិនលុបចោលធ្មេញជិតខាងដែលមានសុខភាពល្អ

ការស្ដារសមត្ថភាពវិញភ្លាមៗ
នៅពេលដែលត្រូវការបរិច្ឆេទអាហារនិងជីវិតប្រចាំថ្ងៃបានភ្លាមៗ។
ដំណើរការព្យាបាលឥន្ទនៈមួយថ្ងៃ
បន្ថែមបច្ចេកវិទ្យាឌីជីថលទៅរកការស្ថាបនាម្សៀត!
ការធ្វើវាយតម្លៃយ៉ាងច្បាស់លាស់ និងការរៀបចំផែនការ
ការថត CT 3D និងការស្កេនឌីជីថលសម្រាប់ការធ្វើវាយតម្លៃនិងការរៀបចំផែនការបញ្ចូលឧបករណ៍។

ការប្រព្រឹត្តការវះកាត់ណែនាំ
ការដាក់ឱ្យមានអ៊ីមភ្លង់នៅកន្លែងដែលមានភាពត្រឹមត្រូវដោយប្រើមគ្គុទេសក៍ 3D

ការផលិតធ្វើបន្ទាន់
ផលិតក្រឡាញ់ដែលមានលក្ខណៈពិសេសដោយ CEREC ហើយដាក់ឱ្យប្រើនៅថ្ងៃនោះទៀត។

ការដាក់ក្រឡុក និងបញ្ចប់
ដាក់ក្រឡានដែលបានផលិតទៅលើអ៊ីមភ្លង់ ដើម្បីបញ្ចប់ការព្យាបាល

ប្រព័ន្ធអ៊ីមភ្លង់នាវីហ្គេស្យុន 3D
បន្ថែមបច្ចេកវិទ្យាឌីជីថលទៅរកការស្ថាបនាម្សៀត!

ការកំណត់ទីតាំងយ៉ាងត្រឹមត្រូវ
កំណត់ទីតាំងអ៊ីមភ្លង់ដែលល្អបំផុតដោយផ្អែកលើវីដេអូ 3D

ការវះកាត់សុវត្ថិភាព
ការប្រព្រឹត្តការវះកាត់ដោយសុវត្ថិភាពដោយជៀសវាងសរសៃប្រសាទ និងសរសៃឈាម

លទ្ធផលដែលអាចទស្សន៍ទាយបាន
អាចទស្សន៍ទាយលទ្ធផលបានតាមរយៈការសម្តែងមុនការវះកាត់។

ការវះកាត់ដែលមានការវាយតម្លៃតិចតួច
ការស្ដារឡើងវិញយ៉ាងឆាប់រហ័សនិងការឈឺចាប់តិចតួចដោយការកាត់តូចៗ
ប្រៀបធៀបរវាង One-Day និងអ៊ីមភ្លង់ដែលមានស្រាប់
បន្ថែមបច្ចេកវិទ្យាឌីជីថលទៅរកការស្ថាបនាម្សៀត!
CEREC ការដំឡើងឥន្ទនៈមួយថ្ងៃ
ការព្យាបាលអ៊ីមភ្លង់ដែលមានស្រាប់
លទ្ធផលនៃការព្យាបាលអ៊ីមភ្លង់មួយថ្ងៃ
បន្ថែមបច្ចេកវិទ្យាឌីជីថលទៅរកការស្ថាបនាម្សៀត!
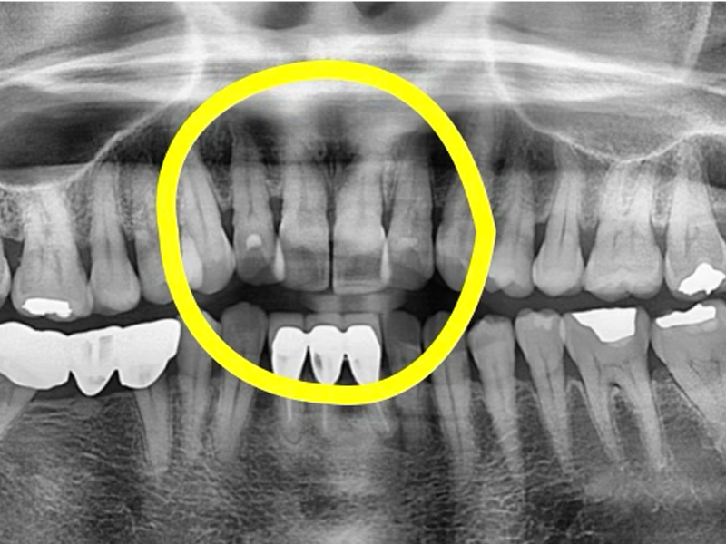
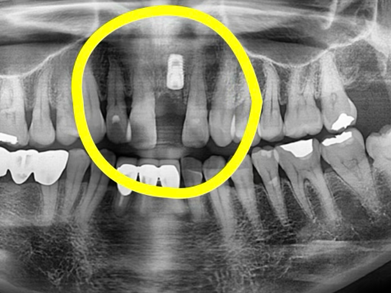
ការដំឡើងឥន្ទនៈមុខ
Before

After

ករណីដែលបានស្ដារទៅវិញនូវធ្មេញមុខដែលបាត់បង់ដោយសារការប៉ះពាល់ដោយការដំឡើងឧបករណ៍ដាក់ឱ្យបាននៅថ្ងៃเดียว។
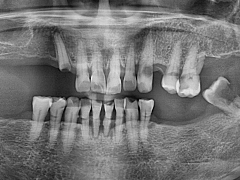
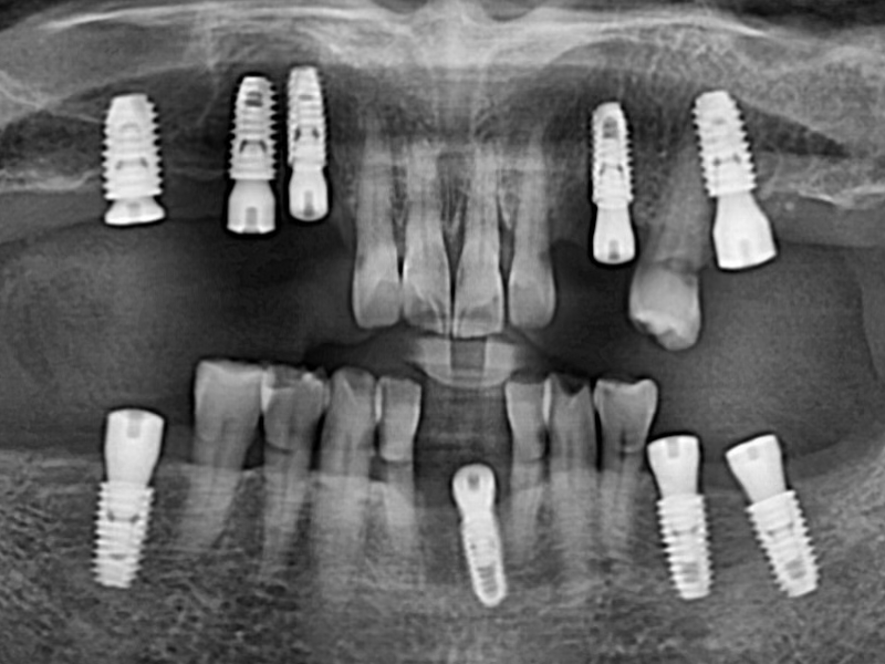
ការដំឡើងឥន្ទនៈធ្មេញក្រោម
Before

After

ករណីដែលបានស្ដារបន្ទាន់ធ្មេញកណ្តាលដែលបានដកចេញដោយសារការប៉ះពាល់ពីជំងឺធ្មេញ។
ការដាក់ឱ្យមានឧបករណ៍ដាក់ឱ្យមានឧបករណ៍បន្ទាន់
Before

After

ករណីដកធ្មេញនៅពេលតែមួយ និងដាក់ឱ្យមានការដាក់ឱ្យមានអ៊ីមភ្លង់ និងដាក់ក្រឡា
ការថែទាំបន្ទាប់ពីការប្រព្រឹត្តិការណ៍
បន្ថែមបច្ចេកវិទ្យាឌីជីថលទៅរកការស្ថាបនាម្សៀត!
ថ្ងៃធ្វើការព្យាបាល
១-៣ ថ្ងៃ
សប្តាហ៍ទី ១-២
1 ខែក្រោយ

សំណើសុំប្រឹក្សាអំពីឧបករណ៍ដាក់ឬសមួយថ្ងៃ
បន្ថែមបច្ចេកវិទ្យាឌីជីថលទៅរកការស្ថាបនាម្សៀត!
សូមទទួលការព្យាបាលដែលសុវត្ថិភាព និងស្អាតជាមួយប្រព័ន្ធសំអាតពេញលេញ 12 ជំហាន។
☎ 1660-0752








