Унтаж буй шүдний цоорол эмчилгээ
Имплантад дижиталыг нэмэх!
Унтаж буй шүдний эмчилгээ гэж юу вэ?
Шүдний цоорол эмчилгээний талаар хэт их түгшүүр, айдас мэдэрдэг өвчтөнүүд, эсвэл олон шүдний цоорлыг нэг дор эмчлэх шаардлагатай тохиолдолд нойрсуулах анагаах ухаан (тайвшруулах анагаах ухаан) ашиглан тав тухтай байдлаар шүдний цоорол эмчилгээ хийдэг арга юм. Өвчтөнүүд унтаж байхдаа өвдөлт, тавгүйтэлгүйгээр төгс шүдний цоорол эмчилгээ авах боломжтой бөгөөд шүдний эмчид айдасгүй болоход тусалдаг.
Цоорсон шүдний шаталсан эмчилгээний аргачлал
Имплантад дижиталыг нэмэх!
Эхлэл шүдний цоорол
C1-C2Эмаль болон шүдний ясны эхний шатны цооролын эмчилгээ
Эмчилгээний арга хэмжээ
- Резин дүүргэлтийн эмчилгээ
- Энгийн өрөмдлөг
- Өнөөдөр дуусгах боломжтой
- Байгалийн өнгө
Унтах эмчилгээний зөвлөмж
Хөнгөн айдас өвчтэй өвчтөн
Дунд зэргийн шүдний цоорхой
C3Нервийн ойрхон гүн шүдний цоорлын нарийн эмчилгээ
Эмчилгээний арга хэмжээ
- Инлей/Онлей эмчилгээ
- Нервийн хадгалалт эмчилгээ
- Нарийн хэлбэржүүлэлт
- Урт хугацаанд тэсвэртэй
Унтах эмчилгээний зөвлөмж
Дунд зэргийн сэтгэлзүйн түгшүүртэй өвчтөн
Хүнд зовиуртай шүдний цоорол
C4Нерв хүртэл явсан шүдний цооролын комплекс эмчилгээ
Эмчилгээний арга хэмжээ
- Мэдрэлийн эмчилгээ хослуулах
- Кроун эмчилгээ
- Энэхүү эмчилгээний үйл явц нь төвөгтэй байна.
- Урт хугацааны эмчилгээ
Унтах эмчилгээний зөвлөмж
Хүнд хэлбэрийн айдастай өвчтөнд зайлшгүй шаардлагатай
Унтаж буй шүдний цооролын эмчилгээний явц
Имплантад дижиталыг нэмэх!

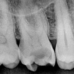
Нарийн оношилгоо
X-ray-ээр шүдний цоорхойн хүрээ болон гүнзгий байдлыг нарийн тодорхойлно.

Эмчилгээний төлөвлөгөө
Цоорсон шүдний шатанд тохирсон хамгийн сайн эмчилгээний аргыг тодорхойлох

Унтаж буй анагаах ухаан
Тайван нойрсож, аюулгүйгээр мэдээ алдуулна.

Чихрийн шижин устгах
Ухаангүй байдлаар шүдний цоорлын хэсгийг бүрэн арилгах

Цэнэглэлт эмчилгээ
Биологийн нийцтэй материалаар нарийн дүүргэлт хийх

Төгсгөлийн шалгалт
Оврын тохируулга болон эцсийн дуусгах шалгалт
унтах үед шүдний цоорол эмчилгээний Онцгой давуу талууд
Тайван, төгс шүдний цоорол эмчилгээ нь эрүүл шүдийг хадгалахад тусална.

Айдас мэдрэмжийг бүрэн арилгана
Бидний эмчилгээний явцад өрөмдлөгийн дуу, чичиргээ огт мэдрэгдэхгүй.

Олон төрлийн эмчилгээ хийх боломжтой
Олон шүдний цоорхойг нэг дор эмчилж дуусгалаа.

Нарийн эмчилгээ
Өвчтөний хөдөлгөөнгүйгээр төгс эмчилгээ хийх боломжтой.

Сайн үр дүн
Шилдэг орчинд хамгийн өндөр чанартай эмчилгээ

Аюулгүй мэдээ алдуулах
Мэргэжлийн анестезиологийн эмчийн аюулгүй байдлын удирдлага

Цаг хэмнэх
Олон удаа ирэх шаардлагагүй үр дүнтэй эмчилгээ

Травмаас сэргийлэх
Эмчилгээний талаар муу дурсамж үлдэхгүй.

Өндөр сэтгэл ханамж
Эмчилгээний 99%-иас дээш өвчтөнүүдийн сэтгэл ханамжтай.
Цооролын эмчилгээний дараа Урьдчилан сэргийлэх арга хэмжээ
Дахин гарахаас сэргийлэхийн тулд нарийн менежментийн арга юм.
Эмчилгээний өмнөх бэлтгэлүүд
Нарийн оношлогоо
Чихрийн шижин өвчний хүрээ болон гүнзгий шинжилгээ, эмчилгээний төлөвлөгөө боловсруулалт
Гурил идэхийг хориглох
Унтах анагаахын өмнө 8 цагийн турш өлсөх нь заавал дагаж мөрдөх шаардлагатай.
Эмчилгээний эмийн мэдээлэл шалгах
Эрүүл мэндийн түүх, хэрэглэж буй эм, аллергийн шинж тэмдгийн талаар урьдчилан зөвлөгөө авах.
Тээврийн хэрэгслийг бэлтгэх
Эмчилгээний дараа шууд жолоо барих боломжгүй, асран хамгаалагчтай байх зайлшгүй шаардлагатай.
Эмчилгээний дараах арчилгаа
Зөв шүд угаах арга
Фтор агуулсан шүдний оо ашиглан хоолны дараа 3 минутын дотор шүдээ угаана уу.
Чихрийн хэрэглээг хязгаарлах
Чихэрлэг хоол хүнс болон хийжүүлсэн ундаа хэрэглэхийг аль болох хязгаарлах хэрэгтэй.
Овогтны ариутгалын уусмал ашиглах
Антибактериал амны хөндийн ариутгагч нь бактерийн өсөлтийг дарангуйлахад тусалдаг.
Тогтмол шалгалт
6 сарын хугацаанд тогтмол шалгалт хийлгэснээр шүдний цооролтоос урьдчилан сэргийлэх менежмент.

Унтаж байх үед шүдний цоорол эмчлэх зөвлөгөө авах
Имплантад дижиталыг нэмэх!
12 шатлалт төгс ариутгалын системээр аюулгүй, цэвэр эмчилгээ хийлгэж үзээрэй.
☎ 1660-0752








